107年:醫學二(2)
10 歲小孩有一個下頷腫塊。病理切片如圖,腫瘤細胞較小,核不分葉,常見細胞分裂。則下列敘述何者錯誤? 
A有EB 病毒感染
B此病好發於非洲兒童
C此腫瘤屬 T-細胞來源
D腫瘤之成長雖極快,但少見轉化為白血病
詳細解析
本題觀念:
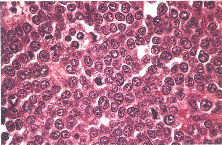
本題考查的是兒童常見的非何杰金氏淋巴瘤(Non-Hodgkin Lymphoma, NHL),具體為 伯基特氏淋巴瘤(Burkitt lymphoma) 的臨床表現、病理特徵及細胞來源。 關鍵字:10歲小孩、下頷腫塊(Mandibular mass)、病理切片顯示"Starry sky" pattern(滿天星呈像)。
影像分析:
- 顯微鏡下觀察:圖片顯示為高倍率下的組織病理切片(H&E染色)。
- 背景細胞(Sky):視野中充滿了瀰漫性、單一形態的中等大小淋巴細胞。這些腫瘤細胞核圓且深染(basophilic),核仁明顯,細胞質稀少。這構成了深藍色的「天空」背景。
- 吞噬細胞(Stars):在深藍色的腫瘤細胞背景中,散佈著許多胞質淡染、體積較大的組織細胞(Histiocytes/Macrophages)。這些巨噬細胞內含有被吞噬的細胞碎片(tingible bodies,即凋亡的腫瘤細胞核碎片)。
- 特徵總結:這種深色背景中散落淡色細胞的現象,即為經典的 「滿天星」(Starry sky appearance) 形態,是 Burkitt lymphoma 的病理特徵標誌。
選項分析
- A. 有EB 病毒感染 (Correct statement) *
...(解析預覽)...
![醫師[1] - 造血與淋巴病理 - AI 圖文解析預覽](/_next/image?url=https%3A%2F%2Fbgvxfcrmbdvefjhuvrmt.supabase.co%2Fstorage%2Fv1%2Fobject%2Fpublic%2Fvisual-explanations%2F527%2F32999_t1695109a.webp&w=3840&q=75)
升級 VIP 解鎖圖文解析