107年:醫學二(1)
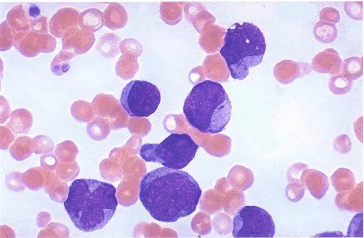
30 歲男性病人因一個月以來咳嗽逐漸加劇而求診。病人腋窩有數個小淋巴結節,脾尖可以摸到。血色素 10.2g/dl稍低,白血球甚高,血小板下降。血液抹片如附圖。最可能的診斷為: 
A急性骨髓性白血病( acute myelogenous leukemia )
B漿細胞性白血病( plasma cell leukemia )
C慢性淋巴球性白血病( chronic lymphocytic leukemia )
D急性淋巴母細胞白血病( acute lymphoblastic leukemia )
詳細解析
本題觀念:
本題考查的是**急性白血病(Acute Leukemia)的鑑別診斷,特別是依靠血液抹片(Blood Smear)**的細胞型態學特徵來區分急性骨髓性白血病(AML)與急性淋巴性白血病(ALL)。同時結合臨床表現(淋巴結腫大、脾腫大、組織浸潤症狀)進行綜合判斷。
影像分析:
附圖顯示的血液抹片特徵如下:
- 細胞大小:視野中充滿了巨大的異常白血球(Blasts),體積明顯大於旁邊的紅血球。
- 細胞核(Nucleus):細胞核形狀極不規則,呈現摺疊狀(folded)、腎形(kidney-shaped)或分葉狀(lobulated)。核染色質(Chromatin)呈現細緻、疏鬆的未成熟樣貌(lacy chromatin)。部分細胞可見明顯的核仁(nucleoli)。
- 細胞質(Cytoplasm):細胞質含量相對豐富(與典型的淋巴母細胞相比),呈現灰藍色,且部分細胞質內可見空泡(vacuoles)。
- 型態診斷:這種具有豐富細胞質且核呈現明顯摺疊、扭曲特徵的原始細胞,是典型的單核球系原始細胞(Monoblasts / Promonocytes)特徵。這強烈提示急性單核球性白血病(Acute Monocytic Leukemia, AML-M5)。
...(解析預覽)...
![醫師[1] - 造血與淋巴病理 - AI 圖文解析預覽](/_next/image?url=https%3A%2F%2Fbgvxfcrmbdvefjhuvrmt.supabase.co%2Fstorage%2Fv1%2Fobject%2Fpublic%2Fvisual-explanations%2F529%2F33198_tba757c15.webp&w=3840&q=75)
升級 VIP 解鎖圖文解析