110年:(醫檢)血液(2)
一位 78歲有輕微貧血的男性病患,血清的蛋白質電泳分析發現 IgM kappa monoclonal protein ,免疫球蛋白定量結果 IgM=5130 mg/dL ,骨髓切片結果如下圖,骨髓檢體細胞標記分析結果為 CD19( + ) 、 CD20( + ) 、IgM/kappa(+ )、 CD5( - ) 、 CD10( - ) ,則此人最可能為下列何種疾病? 
AMultiple myeloma
BHodgkin lymphoma
CChronic lymphocytic leukemia
DWaldenström macroglobulinemia
詳細解析
本題觀念:
本題考查華氏巨球蛋白血症 (Waldenström macroglobulinemia, WM) 的診斷,特別是結合血清蛋白電泳 (IgM M-protein)、骨髓型態學 (Lymphoplasmacytic lymphoma) 與 免疫表現型 (Immunophenotype) 的綜合判讀。
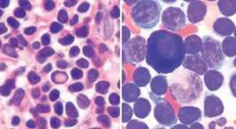
影像分析:
題目提供的兩張圖片為骨髓檢查結果:
- 左圖 (骨髓切片 Biopsy):顯示骨髓腔內充滿了瀰漫性的小圓形細胞浸潤 (diffuse infiltration),取代了正常的造血細胞與脂肪組織。這些細胞型態較為單一,主要為小型淋巴球樣細胞。
- 右圖 (骨髓抹片 Aspirate/Smear):高倍下可見這些細胞主要是小型淋巴球 (small lymphocytes) 混雜著一些具有漿細胞樣特徵的淋巴球 (plasmacytoid lymphocytes)。細胞核偏圓,染色質緻密,部分細胞質略偏嗜鹼性,且無典型多發性骨髓瘤 (MM) 中常見的未成熟大漿細胞。
- 綜合影像判讀:此為典型的 Lymphoplasmacytic lymphoma (LPL) 骨髓表現。
選項分析:
- **(A) Multiple myeloma (多發性骨髓瘤)
...(解析預覽)...

升級 VIP 解鎖圖文解析