108年:醫學三(2)
一位 46 歲男性,過去無特殊病史,因呼吸急促,腹部腫脹而被送到急診求診。理學檢查呈現結膜蒼白,脾臟腫大並且有腹水。實驗室數據顯示:白血球 8450/μL,分類 blast 2.9% ,myelocyte 1% ,metamyelocyte 3.8% ,band 6.7% ,segmented neutrophil 37.1% ,lymphocyte 31.4% 。血紅素 9.7 g/dL ,血小板 55,000/μL ,尿酸 12.1mg/dL (參考區間 2.6 ~7.5 ), lactate dehydrogenase (LDH )2342 U/L (參考區間 140 ~271 )。其骨髓細胞顯示如下圖。染色體有 t(2;8)(p12;q24) 之變化。以下關於這位病人最可能的疾病之診斷與治療,何者錯誤? 
A此病之機轉包含了 c-myc 之deregulation
B此病之病程相當快速,必須儘早治療
C此病之治療過程必須包含腦脊髓液之檢 查與 intrathecal chemotherapy
D一般而言,此病之治療效果不佳,以目前之治療,長期存活率小於 3成
詳細解析
本題觀念:
本題呈現一位 46 歲男性,有脾臟腫大、腹水、貧血、血小板低下、高尿酸血症、LDH 大幅升高,外周血液出現 blast 細胞,加上骨髓細胞學圖片與染色體 t(2;8)(p12;q24) 之變化,診斷為柏奇氏淋巴瘤(Burkitt lymphoma)。本題為反向題(問「何者錯誤」),考查對 Burkitt lymphoma 病理機轉、治療方式與預後的綜合判斷。
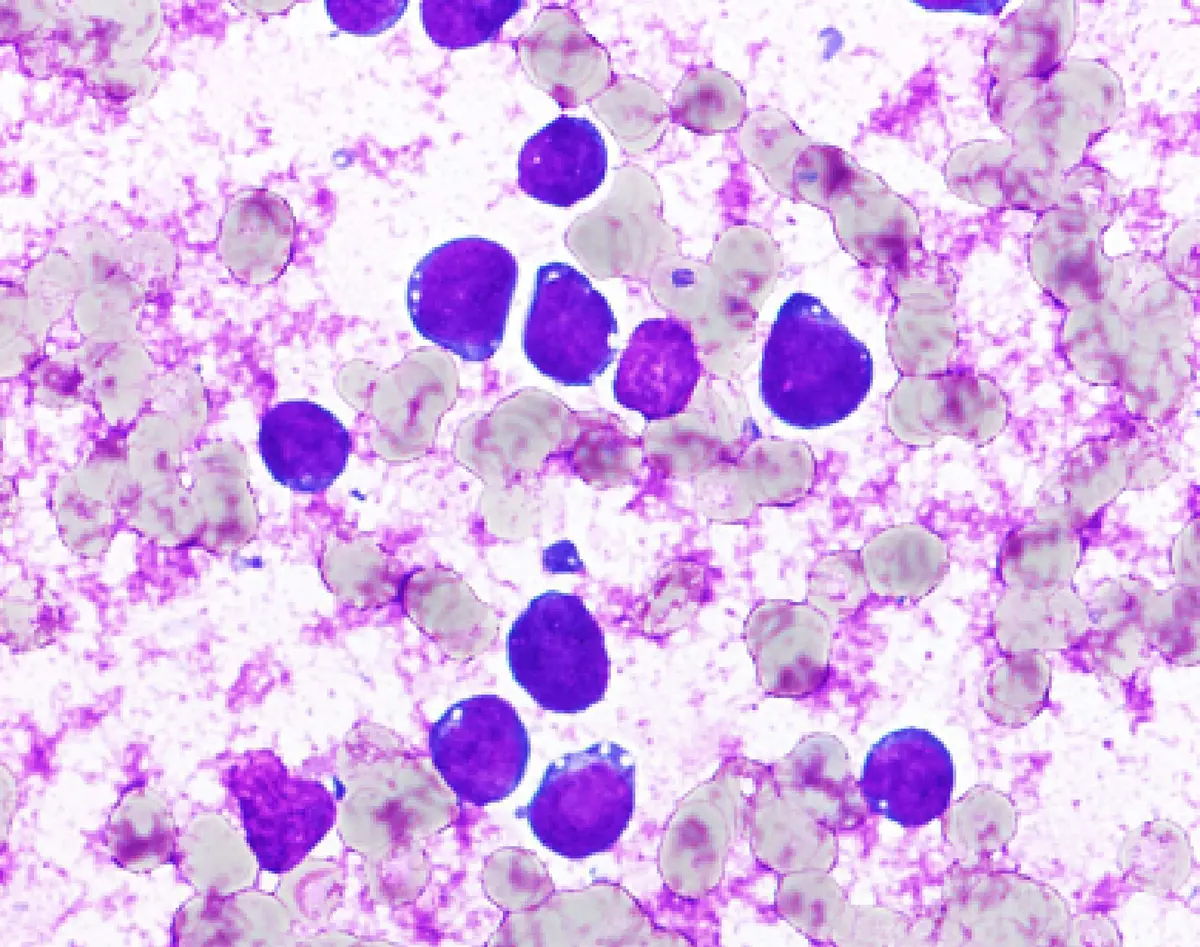
影像分析:
骨髓塗片(Wright-Giemsa 染色)顯示大量高度一致的大型淋巴母細胞(lymphoblasts),具有以下典型 Burkitt lymphoma 形態特徵:
- 細胞核:圓形至橢圓形,染色質較粗,可見多個清晰的核仁(nucleoli)
- 細胞質:深嗜鹼性(deeply basophilic),含有脂質空泡(lipid vacuoles)——此為 Burkitt lymphoma 的特徵性所見
- 細胞密度:腫瘤細胞佔主導地位,正常造血細胞明顯受抑制
- 背景:可見散在的吞噬碎片的巨噬細胞,形成所謂「星空圖案(starry sky pattern)」——大量快速增殖的腫瘤細胞(天空)中散佈著吞噬凋亡細胞碎片的巨噬細胞(星星)
結合骨髓形態、t(2;8)(p12;q24) 染色體異位(IGK/MYC 重排),確認診斷為 Burkitt l
...(解析預覽)...
![醫師[2] - 白血病、淋巴瘤及骨髓疾病 - AI 圖文解析預覽](/_next/image?url=https%3A%2F%2Fbgvxfcrmbdvefjhuvrmt.supabase.co%2Fstorage%2Fv1%2Fobject%2Fpublic%2Fvisual-explanations%2F679%2F45126_t4l2r663s.webp&w=3840&q=75)
升級 VIP 解鎖圖文解析