108年:醫學三(2)
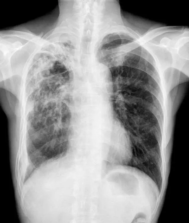
70 歲的男性,因為咳嗽 10 個月及體重減輕就醫,其胸部 X光檢查如附圖。關於進一步的檢驗,下列何者最不適當? 
A痰液塗片耐酸性染色鏡檢( acid-fast stain )
B痰液分枝桿菌培養( mycobacterial culture )
C痰液結核菌核酸增幅檢驗( nucleic acid amplification test )
D丙型干擾素血液測驗( interferon γ release assay )
詳細解析
本題觀念:
本題呈現一位 70 歲男性,有慢性咳嗽(10 個月)及體重減輕,胸部 X 光顯示典型雙側粟粒狀浸潤(miliary pattern),高度懷疑粟粒性結核病(miliary tuberculosis)。本題為反向題(問「最不適當」的進一步檢驗),考查對活動性肺結核診斷工具的正確應用,尤其是丙型干擾素血液測驗(interferon-γ release assay, IGRA)在活動性 TB 診斷上的根本限制。
影像分析:
胸部 X 光(正面,PA view)顯示以下關鍵發現:
- 雙側瀰漫性粟粒狀結節(bilateral diffuse miliary nodules):兩側肺野均可見無數細小(1-3 mm)均勻散佈的結節影,密度均一,佈滿全肺,形如小米粒(millet seeds)——此為「粟粒型結核病」命名由來
- 分佈:從上肺到下肺均勻分佈,無明顯節段性偏好
- 心臟輪廓:大小正常
- 肋膜腔:無明顯積液
- 縱膈:未見明顯腫大淋巴結(但粟粒型 TB 可能有輕微縱膈變化)
此影像高度符合粟粒性肺結核(miliary pulmonary tuberculosis)——因結核菌菌血症(大量淋巴血行性播散)造成全肺瀰漫性播種,形成直徑約 1-5 mm 的均勻粟粒狀結節。臨床上結合 10 個月咳嗽、體
...(解析預覽)...
![醫師[2] - 結核病及分枝桿菌感染 - AI 圖文解析預覽](/_next/image?url=https%3A%2F%2Fbgvxfcrmbdvefjhuvrmt.supabase.co%2Fstorage%2Fv1%2Fobject%2Fpublic%2Fvisual-explanations%2F679%2F45134_t4c115s6g.webp&w=3840&q=75)
升級 VIP 解鎖圖文解析