108年:醫學四(2)
李小姐, 55 歲,因突發性頭痛及癲癇發作、意識障礙被同事送到急診室,其電腦斷層攝影檢查( CT )如下圖。下列敘述何者錯誤? 
A可能診斷 為蜘蛛網膜下腔出血( subarachnoid hemorrhage )
B最常見之病因 為腦動脈瘤( aneurysm )破裂
C併發症中,可能會出現水腦症
D併發症中,大腦血管痙攣( vasospasm )通常比再出血( rebleeding )早發生
詳細解析
本題觀念:
本題考查蜘蛛網膜下腔出血(subarachnoid hemorrhage, SAH)的診斷、病因及併發症時序,特別是血管痙攣(vasospasm)與再出血(rebleeding)的發生時間先後關係。本題為反向題,問何者「錯誤」。
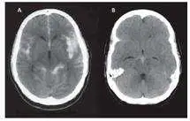
影像分析:
本題附上腦部電腦斷層攝影(CT)兩張影像(A、B):
- 影像 A:顯示基底腦池(basal cisterns)及側裂(sylvian fissures)呈現廣泛高密度(白色)訊號,這是蜘蛛網膜下腔積血的典型 CT 表現。正常腦脊髓液(cerebrospinal fluid, CSF)在 CT 上呈低密度(黑色),此處的高密度代表血液充填蜘蛛網膜下腔。
- 影像 B:右側半球可見局灶性高密度病灶,提示動脈瘤破裂部位附近可能合併局部腦內血腫(intraparenchymal hematoma)或動脈瘤瘤體內血塊,並可見環繞腦溝的血液。
整體影像符合典型的動脈瘤破裂引起的蜘蛛網膜下腔出血表現,搭配臨床上的雷霆頭痛(thunderclap headache)、癲癇發作及意識障礙,診斷明確。
選項分析
(A) 可能診斷為蜘蛛網膜下腔出血(subarachnoid hemorrhage) ✅ 正確陳述
CT 顯示基底腦池及腦溝的高密度積血,加上患者主訴突發性頭痛(雷霆頭痛)、癲癇及意識
...(解析預覽)...
![醫師[2] - 出血性腦中風與腦血管疾病 - AI 圖文解析預覽](/_next/image?url=https%3A%2F%2Fbgvxfcrmbdvefjhuvrmt.supabase.co%2Fstorage%2Fv1%2Fobject%2Fpublic%2Fvisual-explanations%2F680%2F45215_t0b41500t.webp&w=3840&q=75)
升級 VIP 解鎖圖文解析