108年:醫學四(2)
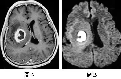
50 歲男性患者,主訴左側肢體無力已經二個星期,接受磁振造影檢查,圖 A是注射顯影劑後的 T1 加權影像,圖B是擴散加權影像( diffusion-weighted image ),下列何者是最可能的診斷? 
A多型性神經膠母細胞瘤( glioblastoma )
B細菌性膿瘍( pyogenic abscess )
C轉移( metastasis )
D多發性硬化症( multiple sclerosis )
詳細解析
本題觀念:
本題考察腦部環狀強化病灶(ring-enhancing lesion)的鑑別診斷,核心在於結合 T1 加權顯影劑後影像(環狀強化特徵)與**擴散加權影像(diffusion-weighted image, DWI)**的訊號特性,來區分細菌性膿瘍(pyogenic abscess)、高惡性膠質瘤(glioblastoma multiforme, GBM)、轉移瘤(metastasis)及多發性硬化症(multiple sclerosis, MS)。
影像分析:
圖 A(T1 加權顯影劑後影像):
- 右側大腦半球可見一個圓形環狀強化病灶(ring-enhancing lesion),環壁呈均勻、平滑的薄壁強化
- 環壁厚度均一,內壁光滑,無明顯結節狀突起(nodularity)
- 病灶中央呈現低訊號,提示為液態內容物(pus 或壞死)
- 周圍可見明顯的血管性水腫(vasogenic edema),呈大範圍低訊號區
- 整體形態為單一、邊緣清楚的囊性病灶,符合成熟期膿瘍(mature abscess stage)的典型表現
圖 B(擴散加權影像,DWI):
- 病灶中央呈現明顯的高訊號(hyperintense),代表水分子擴散受限(restricted diffusion)
- 這種 DWI 高訊號
...(解析預覽)...
![醫師[2] - 髓鞘脫失性疾病、CNS感染、腫瘤及遺傳學 - AI 圖文解析預覽](/_next/image?url=https%3A%2F%2Fbgvxfcrmbdvefjhuvrmt.supabase.co%2Fstorage%2Fv1%2Fobject%2Fpublic%2Fvisual-explanations%2F680%2F45244_t4i5j4n0o.webp&w=3840&q=75)
升級 VIP 解鎖圖文解析