108年:醫學五(2)
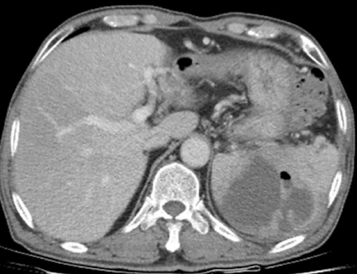
病人主訴左上腹部疼痛和發燒,血液中白血球數目增加。電腦斷層檢查呈現如附圖。下列那一項初診斷最正確? 
Aspleen abscess
Bleft psoas muscle abscess
Ccolon diverticulitis
Dperipancreatic abscess
詳細解析
本題觀念:
本題考核腹部電腦斷層(CT)的影像判讀能力,結合臨床表現(左上腹疼痛、發燒、白血球增多)來辨識脾臟膿瘍(splenic abscess)。脾臟膿瘍是罕見但嚴重的感染性疾病,CT 是診斷的金標準,靈敏度接近 100%。
影像分析:
本圖為腹部軸向對比增強電腦斷層(axial contrast-enhanced CT)影像,可觀察到以下特徵:
- 脾臟病灶:位於畫面左側的脾臟內,可見一大型不規則低密度(hypodense)病灶,邊緣具有對比增強的環形強化(rim enhancement),中央呈液體密度,符合膿瘍的典型 CT 表現。
- 氣體訊號:病灶內/旁可見數個極低密度的小氣泡影(gas bubbles),此為化膿性膿瘍的特徵性表現,出現氣體本身即為膿瘍的診斷依據(pathognomonic finding)。
- 周邊脂肪層:脾臟周圍脂肪層模糊、密度稍增加,顯示局部發炎反應向被膜外蔓延。
- 其他結構:肝臟(右側)密度均勻,無明顯異常;主動脈及下腔靜脈可見;脊椎及兩側腰大肌影像完整,無獨立腰大肌膿瘍徵象。
結論:CT 所見之脾臟內低密度含氣集液病灶伴周邊環形強化,高度符合脾臟膿瘍(splenic abscess)的診斷。
選項分析
(A) spleen abscess(脾臟膿瘍) ✅ **
...(解析預覽)...
![醫師[2] - 外科急症與腫瘤學總論 - AI 圖文解析預覽](/_next/image?url=https%3A%2F%2Fbgvxfcrmbdvefjhuvrmt.supabase.co%2Fstorage%2Fv1%2Fobject%2Fpublic%2Fvisual-explanations%2F681%2F45322_t67456x01.webp&w=3840&q=75)
升級 VIP 解鎖圖文解析