108年:醫學六(2)
一位年輕女性磁振造影檢查呈現如圖,箭號所指之敘述何者最正確? 
A雙角子宮
B雙子宮
C子宮經血滯留
D單角子宮
詳細解析
本題觀念:
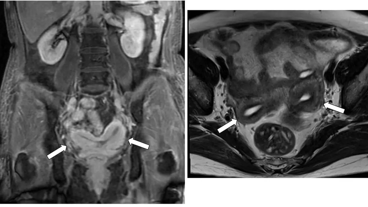
本題考核女性生殖系統 MRI 影像判讀,重點在識別先天性子宮畸形中的雙角子宮(bicornuate uterus),並與其他苗勒氏管異常(Müllerian duct anomalies, MDA)做鑑別診斷。MRI 是評估子宮先天畸形的黃金標準,可清楚顯示子宮外輪廓與內腔結構。
影像分析:
本題提供兩張骨盆 MRI 影像(冠狀位 + 軸位):
左圖(冠狀位 coronal view):
- 可見子宮基底部(fundus)呈明顯凹陷/分叉形態,形成兩個分開的子宮角(uterine horns),箭號分別指向左右兩個子宮角。
- 兩角之間可見子宮底的外輪廓向內凹陷(fundal cleft),凹陷深度 > 1 cm。
- 兩角之間在中下段仍有子宮肌層(myometrium)相連,顯示兩角有部分融合,這與雙子宮(uterus didelphys)不同。
- 整體外形呈「心形(heart-shaped)」子宮底。
右圖(軸位 axial view):
- 兩白色箭號指向兩側子宮角的橫切面,兩角清楚分離。
- 兩角之間角度增寬(intercornual angle > 105°),符合雙角子宮的診斷標準。
- 兩角中間可見連接的子宮肌層組織。
影像診斷結論:外輪廓呈心形凹陷、兩個分開但下方相連的子宮角、fundal cleft >
...(解析預覽)...
![醫師[2] - 卵巢良性病變與先天異常 - AI 圖文解析預覽](/_next/image?url=https%3A%2F%2Fbgvxfcrmbdvefjhuvrmt.supabase.co%2Fstorage%2Fv1%2Fobject%2Fpublic%2Fvisual-explanations%2F682%2F45403_t142m2e2z.webp&w=3840&q=75)
升級 VIP 解鎖圖文解析