108年:醫學五(1)
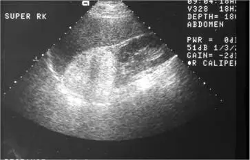
40 歲男性病⼈因上腹部不適,上腹部超⾳波檢查發現右腎上⽅腫瘤如圖,最可能的診斷為何? 
Aadrenal myelolipoma
Badrenal pheochromocytoma
Cadrenal cortical adenoma
Dadrenal cortical carcinoma
詳細解析
本題觀念:
腎上腺髓脂瘤(adrenal myelolipoma)是一種罕見的良性腎上腺腫瘤,由成熟脂肪組織(mature adipose tissue)與骨髓造血組織(myeloid tissue)混合組成,屬於「偶發瘤(incidentaloma)」中第二常見的腎上腺病灶(僅次於腎上腺腺瘤)。其影像學特徵具有高度診斷特異性,尤其在超音波上呈現獨特的強回聲(hyperechoic)表現。
影像分析:
本題圖片為腹部超音波(標記 SUPER RK,即右腎上方區域),可見:
- 位置:右腎上方、腎上腺區域,可見一邊界清楚的腫塊
- 回聲特性:腫瘤呈現均勻強回聲(homogeneous hyperechoic),明顯較周圍組織亮
- 邊界:腫瘤邊緣清晰規則,與鄰近腎臟有明顯分界
- 無聲影:不像腎結石會產生後方聲影,此腫瘤後方無明顯聲影
影像判讀意義:超音波強回聲腫塊位於腎上腺區域,最典型的診斷就是腎上腺髓脂瘤——因為腫瘤富含脂肪,超音波下脂肪組織回聲強,造成此特徵性強回聲表現。文獻報告超音波診斷髓脂瘤的敏感度達 89%、特異度 99%。
選項分析
(A) adrenal myelolipoma(腎上腺髓脂瘤) ✅ 正確答案
- 超音波表現為強回聲、邊界清楚、均勻或輕度不均勻的腫塊,是最典型特
...(解析預覽)...
![醫師[2] - 內分泌外科學 - AI 圖文解析預覽](/_next/image?url=https%3A%2F%2Fbgvxfcrmbdvefjhuvrmt.supabase.co%2Fstorage%2Fv1%2Fobject%2Fpublic%2Fvisual-explanations%2F685%2F45641_t0p5l173x.webp&w=3840&q=75)
升級 VIP 解鎖圖文解析