108年:醫學六(1)
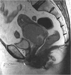
68 歲女性病患,已停經,主訴不正常陰道出⾎,磁振造影檢查如下圖。其最可能的診斷為何? 
A⼦宮肌瘤( uterine myoma )
B⼦宮內膜癌( endometrial cancer )
C⼦宮頸癌( cervical cancer )
D⼦宮內膜息⾁( endometrial polyp )
詳細解析
本題觀念:
停經後不正常陰道出血合併磁振造影(MRI)見子宮頸部大型腫塊,最典型的診斷為子宮頸癌(cervical cancer)。本題考核考生對子宮頸癌 MRI 影像特徵的判讀,以及與其他婦科病灶(子宮肌瘤、子宮內膜癌、子宮內膜息肉)的鑑別診斷能力。
影像分析:
本題 MRI 影像為矢狀切面(sagittal view),影像顯示一個大型、不均質(heterogeneous)的軟組織腫塊,腫塊中心明顯位於**子宮頸(cervix)**區域。腫塊體積龐大,造成子宮頸明顯擴大變形,並可見腫塊向上侵犯子宮體下段(lower uterine segment)。
關鍵影像特徵:
- 腫塊以子宮頸為中心(cervix-centered mass),而非子宮腔(endometrial cavity)
- 腫塊呈中等至較高訊號強度,相對於正常子宮頸基質(cervical stroma)的低訊號,可見腫塊破壞正常子宮頸環形低訊號帶(disruption of the hypointense fibrous cervical stromal ring)
- 腫塊體積大,形態不規則,邊界不清
- 未見明顯宮腔內膜起源的特徵
此影像表現與子宮頸癌(cervical cancer)之 MRI 典型特徵高度吻合:T2 加權影像上呈現中高訊號的子宮頸中央腫塊,破壞
...(解析預覽)...
![醫師[2] - 子宮惡性腫瘤 - AI 圖文解析預覽](/_next/image?url=https%3A%2F%2Fbgvxfcrmbdvefjhuvrmt.supabase.co%2Fstorage%2Fv1%2Fobject%2Fpublic%2Fvisual-explanations%2F686%2F45722_t5k6r6e1f.webp&w=3840&q=75)
升級 VIP 解鎖圖文解析