107年:醫學三(2)
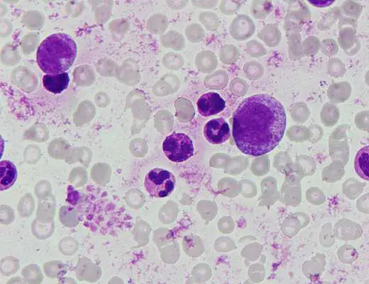
一位 45 歲女性,平常健康狀況良好,但是近三個月感到腹脹,食慾不振,疲乏無力。理學檢查呈現臉色與結膜蒼白,另外腹部觸診可以摸到明顯之脾臟與肝臟腫大。實驗室數據顯示,白血球高達 260,000/ µL,Hemoglobin 7.7 g/dL ,血小板 650,000/ µL,白血球分類顯示 blast 10% ,promyelocyte 19% ,myelocyte9.8% ,metamyelocyte 9.5% ,band 12.3% ,segmented neutrophil 24% ,basophil 7% ,eosinophil 6.3% ,lymphocyte 1.3% 。骨髓細胞之染色體檢查顯示 t(9;22)(q34;q11) 。骨髓中之 blasts 是2% 。其血液抹片如下圖所示。以下關於這位病人最可能的疾病之診斷與治療,何者錯誤? 
A現在治療此病的第一線藥物是 tyrosine kinase inhibitors ,例如 imatinib 、dasatinib 或是 nilotinib
B在慢性期,如果病人沒有明顯之臨床症狀,可以先觀察追蹤,不需立即用藥治療
C這類病人之 leukocyte alkaline phosphatase (LAP )score 常常是降低的
D對這個疾病而言,少有一開始診斷即是急性期
詳細解析
本題觀念:
本題呈現一位 45 歲女性,具有典型慢性骨髓性白血病(chronic myelogenous leukemia, CML)的臨床表現:脾肝腫大、白血球顯著升高(260,000/µL)、血小板增加、嗜鹼性球(basophil)及嗜酸性球(eosinophil)增多,以及骨髓染色體證實 t(9;22)(q34;q11)——即費城染色體(Philadelphia chromosome)。骨髓 blasts 僅 2%(< 10%),確認為慢性期(chronic phase)。本題為反向題,問何者錯誤。
影像分析:
血液抹片(peripheral blood smear)顯示:
細胞型態描述:
- 多量不同成熟度的骨髓球系細胞(myeloid precursors):可見各階段分化,包含大型芽細胞(blasts,細胞大、核質比高、核仁明顯)、早骨髓球(promyelocytes,紫色顆粒豐富)、骨髓球(myelocytes)、後骨髓球(metamyelocytes)等
- 成熟中性球:帶狀(band)及分葉核(segmented neutrophil)中性球可見,整體呈現左移(left shift)
- 嗜鹼性球(basophils):可見深紫色顆粒大型細胞,此為 CML 血液抹片的重要特徵
...(解析預覽)...
![醫師[2] - 白血病、淋巴瘤及骨髓疾病 - AI 圖文解析預覽](/_next/image?url=https%3A%2F%2Fbgvxfcrmbdvefjhuvrmt.supabase.co%2Fstorage%2Fv1%2Fobject%2Fpublic%2Fvisual-explanations%2F687%2F45768_t152j3m1v.webp&w=3840&q=75)
升級 VIP 解鎖圖文解析