107年:醫學四(2)
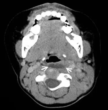
7歲男童因突發性高燒、吞嚥困難就醫,在對比劑注射後,接受電腦斷層掃描檢查如圖示,箭號所指病灶最可能診斷為何? 
A扁桃腺炎
B咽喉後膿瘍
C咽喉癌
D甲狀腺水囊
詳細解析
本題觀念:
本題考察兒童頸部深層感染的影像診斷,核心在於辨認咽喉後膿瘍(retropharyngeal abscess, RPA)的電腦斷層(computed tomography, CT)特徵,並與其他鑑別診斷區分。咽喉後膿瘍是兒童(尤其 6 個月至 6 歲)最常見的頸部深層感染,由咽喉後淋巴結化膿性感染所致。
影像分析:
圖片為注射顯影劑後頸部軸位 CT,顯示:
- 咽喉後方(椎前)空間中可見一低密度(hypodense)集液病灶,位於中線略偏一側(箭號所指處)
- 病灶周圍可見環狀增強(ring enhancement),符合膿瘍壁的發炎性血管新生表現
- 病灶位於咽部後壁與頸椎椎體之間的咽喉後間隙(retropharyngeal space)
- 雙側頸部可見腫大淋巴結,顯影增強
- 氣道受壓,向前移位,是咽喉後膿瘍典型的繼發徵象
- 扁桃腺區域無獨立膿瘍形成,可與扁桃腺周膿瘍(peritonsillar abscess)區分
上述 CT 表現(咽喉後間隙低密度集液 + 環狀增強 + 氣道前移)高度符合咽喉後膿瘍。
選項分析
(A) 扁桃腺炎(tonsillitis) → 不正確。扁桃腺炎為扁桃腺本身的瀰漫性發炎,CT 上表現為扁桃腺腫大及均勻增強,不會出現咽喉後間隙的獨立低密度集液病灶。本題 C
...(解析預覽)...
![醫師[2] - 細菌感染與免疫預防 - AI 圖文解析預覽](/_next/image?url=https%3A%2F%2Fbgvxfcrmbdvefjhuvrmt.supabase.co%2Fstorage%2Fv1%2Fobject%2Fpublic%2Fvisual-explanations%2F688%2F45885_t0v0p3f2t.webp&w=3840&q=75)
升級 VIP 解鎖圖文解析