107年:醫學五(2)
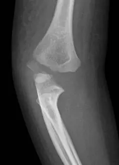
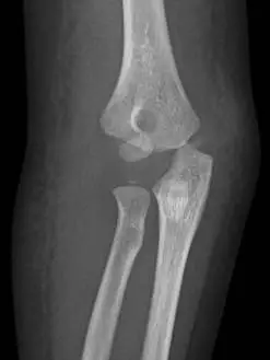
4歲小美由床上跌落,由於右肘的疼痛及腫脹,父母帶她來急診求診,並接受右肘部的 X光檢查,由此 X光影像,顯示此女童發生了何種骨折?

A肱骨髁上骨折( humeral supracondylar fracture )
B肱骨外髁骨折( humeral lateral condyle fracture )
C肱骨內上髁骨折( humeral medial epicondyle fracture )
D尺骨鷹嘴突骨折( ulnar olecranon fracture )
詳細解析
本題觀念:
肱骨外髁骨折(humeral lateral condyle fracture)是兒童肘部第二常見骨折,好發於 4–10 歲,通常因跌倒時手伸直撐地、外翻應力作用於外髁所致。本題考核學生從肘部 X 光影像辨識骨折類型,並與其他常見兒童肘部骨折作鑑別診斷。
影像分析:
本題提供兩張右肘 X 光影像:
正面(AP)影像: 可見肱骨遠端外側有明顯骨折線,累及外髁(lateral condyle)區域,外側骨折碎片(包含肱骨小頭骨化中心)向外側及下方移位。注意肱骨遠端內側結構(滑車、內上髁)仍保持相對完整,並非完整的髁上骨折表現。骨折線自肱骨幹骺端外側向下延伸至關節面,符合 Milch Type II(骨折線延伸至滑車溝內)的特徵。
側面(Lateral)影像: 外髁骨折碎片向後外側移位,可見後脂肪墊徵象(posterior fat pad sign)陽性,提示關節內積血。前肱骨線(anterior humeral line)仍通過肱骨小頭中三分之一,排除典型的髁上骨折(supracondylar fracture)。肱橈線(radiocapitellar line)異常,進一步支持外髁骨折之診斷。
綜合影像判讀: 骨折碎片位於外側,累及肱骨小頭骨化中心,位移方向為外側及後側,屬於 Jakob 分類 Type III(移位 > 4
...(解析預覽)...
![醫師[2] - 上肢骨折與損傷 - AI 圖文解析預覽](/_next/image?url=https%3A%2F%2Fbgvxfcrmbdvefjhuvrmt.supabase.co%2Fstorage%2Fv1%2Fobject%2Fpublic%2Fvisual-explanations%2F689%2F45951_t4r462w5k.webp&w=3840&q=75)
升級 VIP 解鎖圖文解析