107年:醫學五(2)
承上題【4歲小美由床上跌落,由於右肘的疼痛及腫脹,父母帶她來急診求診,並接受右肘部的 X光檢查,由此 X光影像,顯示此女童發生了何種骨折?】,針對小美,下列何者是最佳治療?

A冰敷及肩帶固定治療( ice packing and shoulder sling immobilization )
B徒手復位及支架固定治療( closed reduction and bracing )
C徒手復位及石膏固定治療( closed reduction and casting )
D手術復位及鋼針固定治療( open reduction and pinning )
詳細解析
本題觀念:
本題承接上題,確認診斷為肱骨外髁骨折(humeral lateral condyle fracture)後,考核學生依據骨折移位程度選擇最合適的治療方式。4歲兒童的外髁骨折若呈現明顯移位(Jakob Type III),需進行手術復位及鋼針固定,以確保關節面解剖復位並防止後遺症。
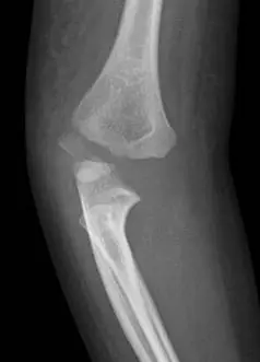
影像分析:
本題影像與上題相同,為治療前的診斷影像:
正面(AP)影像: 可見肱骨外髁骨折碎片明顯移位,位移超過 4 mm,骨折碎片(包含肱骨小頭骨化中心)向外側及遠端旋轉移位。依據 Jakob 分類為 Type III(移位 > 4 mm 且碎片旋轉),為高度不穩定骨折。
側面(Lateral)影像: 外髁骨折碎片向後外側移位,關節面連續性中斷。後脂肪墊徵象(posterior fat pad sign)陽性,確認關節內積血。此類 Jakob Type III 骨折的碎片旋轉特性使閉合復位困難,通常須直視下開放復位才能確保關節面解剖重建。
治療決策依據: 影像顯示明顯移位合併碎片旋轉,閉合復位無法確保關節軟骨面的解剖對位,因此本例需要手術復位及鋼針固定(open reduction and pinning)。
選項分析
**(A) 冰敷及肩帶固定治療(ice packing and shoulder sling immobil
...(解析預覽)...
![醫師[2] - 上肢骨折與損傷 - AI 圖文解析預覽](/_next/image?url=https%3A%2F%2Fbgvxfcrmbdvefjhuvrmt.supabase.co%2Fstorage%2Fv1%2Fobject%2Fpublic%2Fvisual-explanations%2F689%2F45952_t3b4a2y12.webp&w=3840&q=75)
升級 VIP 解鎖圖文解析