107年:醫學五(2)
32 歲男性病人右下腹痛 2天,來到急診,身體檢查有明顯局部壓痛,白血球在正常值內但略偏高, C-reactive protein 上升。未注射顯影劑的電腦斷層如圖示,下列何項診斷最有可能? 
Aepiploic appendagitis
Bacute ileus
Cascending colon intusussception
Dcolon cancer with perforation
詳細解析
本題觀念:
大網膜附屬物炎(epiploic appendagitis)是一種少見但重要的急性腹痛原因,好發於右下腹或左下腹。其臨床表現與急性闌尾炎(acute appendicitis)或憩室炎(diverticulitis)十分相似,往往需要電腦斷層(CT)才能正確鑑別。本題強調未注射顯影劑的腹部 CT 在診斷此病的關鍵價值。
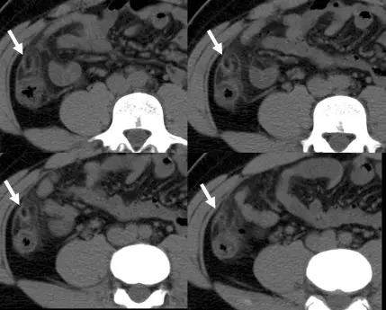
影像分析:
本題提供的電腦斷層影像為四個連續切面(2×2 格排列),均為**未注射顯影劑(non-contrast CT)**之腹部軸位影像。
各切面中可見右下腹(箭頭所指位置)有以下特徵性影像所見:
- 卵圓形脂肪密度病灶(fat-attenuation oval lesion):密度與腸系膜脂肪相近,呈低密度,大小約 1.5–3 cm,緊鄰升結腸(ascending colon)前側腸壁
- 高密度環繞邊緣(hyperattenuating ring sign):病灶周圍可見一圈薄層高密度環,代表發炎的臟層腹膜
- 周圍脂肪浸潤(fat stranding):病灶周圍可見模糊的脂肪密度增高,反映發炎反應向外擴散
- 結腸壁厚度正常:與憩室炎不同,此病灶鄰近的結腸壁無明顯增厚
- 未見闌尾腫大:無典型急性闌尾炎的「管狀腫大結構」
以上影像特徵高度符合**大網膜附屬物炎(epiploi
...(解析預覽)...
![醫師[2] - 外科急症與腫瘤學總論 - AI 圖文解析預覽](/_next/image?url=https%3A%2F%2Fbgvxfcrmbdvefjhuvrmt.supabase.co%2Fstorage%2Fv1%2Fobject%2Fpublic%2Fvisual-explanations%2F689%2F45962_t2r0x1i5y.webp&w=3840&q=75)
升級 VIP 解鎖圖文解析