107年:醫學六(2)
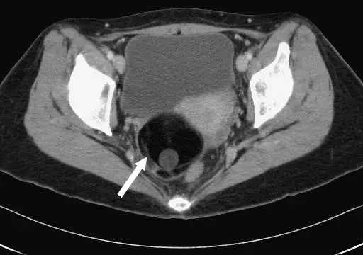
43 歲女性病人,健檢時發現 CA-199 升高,接受腹部影像檢查,上圖為骨盆處橫切超音波,下圖為 CT 最可能之診斷為何?

A卵巢癌(ovarian cancer )
B卵巢畸胎瘤( ovarian teratoma )
C子宮內膜異位( endometriosis )
D卵巢濾泡囊腫( ovarian follicular cyst )
詳細解析
本題觀念:
本題考查成熟囊性畸胎瘤(mature cystic teratoma,又稱皮樣囊腫 dermoid cyst)的影像診斷特徵。43 歲女性因健康檢查發現 CA19-9 升高,進一步接受超音波及電腦斷層(CT)評估,兩者合併影像特徵可導向正確診斷。
影像分析:
上圖:骨盆橫切超音波(Ultrasound, transverse view)
超音波標記顯示 "UB TR"(子宮 urinary bladder / uterus 橫切面)。影像中可見骨盆腔內有一個混合回音的佔位性病灶,其中包含:
- 一個高度強回音(hyperechoic)的內部結節,符合 Rokitansky 結節(dermoid plug,皮樣栓)
- 病灶內有強回音成分伴後方聲影(posterior acoustic shadowing),代表鈣化或毛髮/油脂等含脂成分
- 囊性部分與實性成分混合存在,整體呈現「冰山一角徵象」(tip of the iceberg sign)
- 強回音結節突入囊腔,排列符合典型畸胎瘤皮樣栓表現
下圖:骨盆 CT(軸位切面)
CT 軸位像顯示骨盆腔中央有一個低密度(fat attenuation)的囊性病灶,白色箭頭指向其中一個結節狀的高密度鈣化灶(calcification / toot
...(解析預覽)...
![醫師[2] - 卵巢良性病變與先天異常 - AI 圖文解析預覽](/_next/image?url=https%3A%2F%2Fbgvxfcrmbdvefjhuvrmt.supabase.co%2Fstorage%2Fv1%2Fobject%2Fpublic%2Fvisual-explanations%2F690%2F46044_t4m462a6y.webp&w=3840&q=75)
升級 VIP 解鎖圖文解析