107年:醫學四(1)
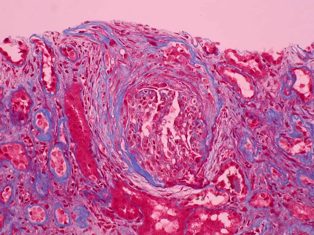
15 歲男孩,因急性腎衰竭而需進行緊急之透析治療。尿液檢查發現男童有血尿及嚴重之蛋白尿(二十四小時尿蛋白值為 7.6 g/24 hr )。血中的血清白蛋白值為 3.2 g/dL ,血中補體 C3 、C4 均正常。腎切片發現 Bowman's capsule 內有細胞性的半月型增生( epithelial cell crescent formation ),如圖所示,螢光染色可見免疫複合體沈積。下列何者診斷最恰當? 
A鏈球菌感染後之急性腎炎( poststreptococcal glomerulonephritis )合併急性腎衰竭
BIgA 腎炎(IgA nephropathy )合併急性腎衰竭
CWHO 分類之第四類狼瘡性腎炎( WHO class IV lupus nephritis )合併急性腎衰竭
DANCA-mediated 腎絲球腎炎( ANCA-mediated glomerulonephritis )合併急性腎衰竭
詳細解析
本題觀念:
本題考查急性腎衰竭合併新月體性腎絲球腎炎(crescentic glomerulonephritis)的鑑別診斷,重點在於整合臨床表現、補體數值及腎切片免疫螢光特徵,做出最正確的診斷。
影像分析:
圖片顯示腎切片光學顯微鏡所見(Masson trichrome 染色):
- Bowman's 囊腔內可見明顯細胞性新月體(cellular crescent):由增生的壁層上皮細胞(parietal epithelial cells)與滲入的單核球/巨噬細胞堆積而成,形成半月形結構,幾乎填滿整個 Bowman's 囊腔。
- 腎絲球(glomerulus):受壓縮於新月體內,毛細血管叢結構仍可見,但受擠壓。
- 周圍腎小管與間質可見纖維化及發炎細胞浸潤跡象。
- 此種 cellular crescent formation 代表急性、活躍的腎絲球損傷,臨床上對應的是快速進展性腎絲球腎炎(rapidly progressive glomerulonephritis, RPGN)的表現。
題目另提及螢光染色可見免疫複合體沈積(immune complex deposition),此為 Type II RPGN(immune complex-mediated)的特徵,可見於 IgA 腎炎、狼瘡性腎炎、鏈球菌感染
...(解析預覽)...
![醫師[2] - 腎臟疾病 - AI 圖文解析預覽](/_next/image?url=https%3A%2F%2Fbgvxfcrmbdvefjhuvrmt.supabase.co%2Fstorage%2Fv1%2Fobject%2Fpublic%2Fvisual-explanations%2F692%2F46135_t535v426t.webp&w=3840&q=75)
升級 VIP 解鎖圖文解析