107年:醫學五(1)
一位 55 歲男性,因上腹劇痛被家人送到急診治療,病患 2年前曾因胃癌接受胃次全切除( subtotal gastrectomy and B II anastomosis ),理學檢查發現上腹有壓痛情形,但沒有 muscle guarding and rebounding pain ,抽血檢查發現: WBC :12,000 / mm 3,Alk-P:95 U / L ,rGT :75 U/L ,total Bilirubin :3.5 mg/dL ,Amylase :1,054 U/L ,Lipase :7,000 U/L ,電腦斷層如下,則可能的診斷為何? 
A胰臟炎(pancreatitis )
B腸阻塞(intestinal obstruction )
C缺血性腸壞死( ischemic bowel )
D輸入腸端症候群( afferent loop syndrome )
詳細解析
本題觀念:
本題考核「Billroth II 胃次全切除術後輸入腸端症候群(afferent loop syndrome, ALS)」的臨床表現與影像診斷。患者接受 B-II 吻合術後出現上腹劇痛、膽紅素升高、胰酵素大幅升高,並有特徵性電腦斷層影像,需與急性胰臟炎、腸阻塞、缺血性腸壞死鑑別診斷。
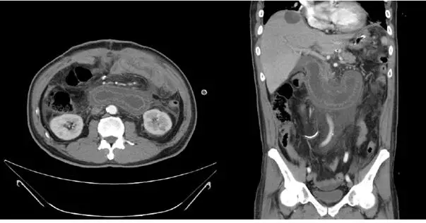
影像分析:
電腦斷層顯示軸切面(axial)與冠狀切面(coronal)兩組影像。
軸切面所見: 右上腹可見一個巨大、液體充填(fluid-filled)的管狀結構,位於胰臟頭部周圍,形成特徵性「C 字形(C-loop sign)」。此液體充填管腔壁薄、無氣體充填(no oral contrast opacification),腸壁可見 valvulae conniventes(鍵盤徵,keyboard sign)向腔內突出,可與胰臟假囊腫(pancreatic pseudocyst)鑑別。腸腔極度擴張,管徑明顯增大(約 5 cm 以上)。
冠狀切面所見: 右上腹至中腹可見連續性擴張的液體充填腸管,跨越中線延伸,繞行於腸系膜血管與主動脈之間。上方可見胃及吻合口,擴張的輸入腸端(afferent limb)積聚大量膽汁、胰液及腸液,無法順利排入胃。骨盆腔及腹壁外觀尚無明顯腹水或游離氣體。
影像結論: 上述電腦斷層表現符合急性輸入腸端阻塞(acu
...(解析預覽)...
![醫師[2] - 上消化道外科(食道與胃) - AI 圖文解析預覽](/_next/image?url=https%3A%2F%2Fbgvxfcrmbdvefjhuvrmt.supabase.co%2Fstorage%2Fv1%2Fobject%2Fpublic%2Fvisual-explanations%2F693%2F46259_t4o52090k.webp&w=3840&q=75)
升級 VIP 解鎖圖文解析