107年:醫學五(1)
承上題【一位 55 歲男性,因上腹劇痛被家人送到急診治療,病患 2年前曾因胃癌接受胃次全切除( subtotal gastrectomy and B II anastomosis ),理學檢查發現上腹有壓痛情形,但沒有 muscle guarding and rebounding pain ,抽血檢查發現: WBC :12,000 / mm 3,Alk-P:95 U / L ,rGT :75 U/L ,total Bilirubin :3.5 mg/dL ,Amylase :1,054 U/L ,Lipase :7,000 U/L ,電腦斷層如下,則可能的診斷為何?】,下列何種處置方式可行? 
A經驗性抗生素治療
B血管攝影檢查
C胃鏡檢查
D剖腹探查
詳細解析
本題觀念:
本題承接上題,考核「急性輸入腸端症候群(acute afferent loop syndrome, ALS)」的治療處置。患者為 B-II 胃次全切除術後,發生急性完全性輸入腸端阻塞,需判斷最適當的處置方式。
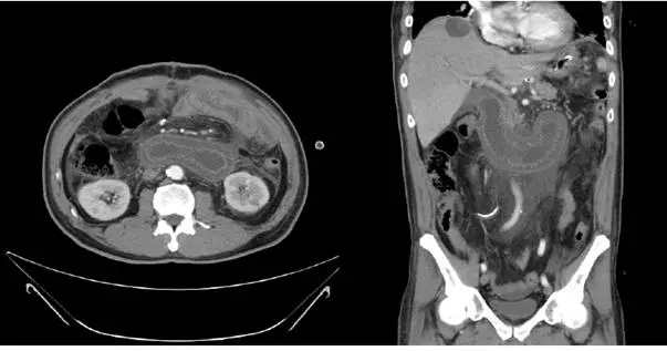
影像分析:
本題使用與上題相同的電腦斷層影像(軸切面 + 冠狀切面),用以支持治療決策。
影像重點回顧:
- 右上腹可見巨大液體充填(fluid-filled)管腔,形成 C-loop sign,圍繞胰臟頭部,管壁可見 keyboard sign(valvulae conniventes)
- 管腔極度擴張,估計直徑 ≥ 5 cm,充滿膽汁及胰液
- 無游離腹腔氣體(free air),尚未見明顯穿孔跡象
- 腸壁強化尚存(無明顯缺血壞死的 CT 早期徵象)
治療決策意涵: CT 顯示急性完全性阻塞,輸入腸端高度擴張,若不處理,腸壁壓力持續升高將導致缺血壞死與穿孔。此影像直接支持需要手術介入的判斷。
選項分析
(A) 經驗性抗生素治療 ❌ 抗生素治療無法解除機械性阻塞(mechanical obstruction)。ALS 的根本病理機制是輸入腸端的物理性阻塞,導致膽汁與胰液積聚,單純抗生素無法恢復腸道通暢性。雖然嚴重時可能合併感染,但抗生素僅是輔助療法,非主要治療。
**(B) 血管攝影檢查(angiog
...(解析預覽)...
![醫師[2] - 上消化道外科(食道與胃) - AI 圖文解析預覽](/_next/image?url=https%3A%2F%2Fbgvxfcrmbdvefjhuvrmt.supabase.co%2Fstorage%2Fv1%2Fobject%2Fpublic%2Fvisual-explanations%2F693%2F46260_t0y236x5s.webp&w=3840&q=75)
升級 VIP 解鎖圖文解析