107年:醫學五(1)
55 歲男性病人在肝臟超音波追蹤時發現陰影,安排三相式( pre-contrast, arterial phase, venous phase )電腦斷層掃描如圖示。根據 Couinaud 肝臟分葉法,該病灶位置為何? 
AS5
BS6
CS7
DS8
詳細解析
本題觀念:
本題考查 Couinaud 肝臟分葉法(Couinaud liver segmentation)在電腦斷層(CT)影像上的應用,以及三相式 CT(triphasic CT)在肝臟病灶偵測中的判讀方式。題目要求考生根據 CT 影像判斷病灶所在的 Couinaud 肝段。
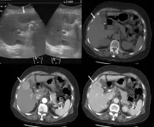
影像分析:
圖片呈現 2×2 四格影像:
- 左上圖(超音波):肝臟超音波,白色箭頭指向一個邊界尚清楚的低迴音病灶,位於肝臟右葉的前下方區域,近膽囊窩(gallbladder fossa)旁。
- 右上圖(pre-contrast CT):平掃期,可見肝臟右葉前下方(近膽囊旁)有一約 2–3 cm 低密度病灶,箭頭標示其位置。病灶位於中肝靜脈(middle hepatic vein)與右肝靜脈(right hepatic vein)之間,且位於門靜脈分叉平面以下(infraportal)。
- 左下圖(arterial phase CT):動脈期,病灶呈明顯高增強(arterial enhancement / hypervascularity),典型「快進」表現,符合肝細胞癌(hepatocellular carcinoma, HCC)的血管特性。
- 右下圖(venous phase CT):門靜脈期,病灶密度相對下降,呈現「快出」(washout)現象
...(解析預覽)...
![醫師[2] - 肝臟與門靜脈高壓外科 - AI 圖文解析預覽](/_next/image?url=https%3A%2F%2Fbgvxfcrmbdvefjhuvrmt.supabase.co%2Fstorage%2Fv1%2Fobject%2Fpublic%2Fvisual-explanations%2F693%2F46283_t5g6t4v50.webp&w=3840&q=75)
升級 VIP 解鎖圖文解析