107年:醫學六(1)
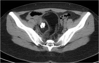
33 歲女性病患因腹痛接受電腦斷層檢查,發現下腹部有一病灶,內有鈣化成分如圖。其診斷為何: 
A子宮肌瘤( uterine myoma )
B卵巢癌(ovarian cancer )
C輸卵管卵巢膿瘍( tubo-ovarian abscess )
D畸胎瘤(teratoma )
詳細解析
本題觀念:
畸胎瘤(teratoma)是最常見的卵巢生殖細胞腫瘤,其中成熟囊性畸胎瘤(mature cystic teratoma)又稱皮樣囊腫(dermoid cyst),佔所有卵巢畸胎瘤的 95%。本題考的是電腦斷層(CT)上含有鈣化成分的下腹部病灶之鑑別診斷。
影像分析:
本電腦斷層影像為骨盆腔橫切面,可見下腹部(骨盆腔內)有一明顯病灶,特徵如下:
- 高密度鈣化灶(hyperdense calcification):病灶內部可見明顯的高亮度鈣化成分,呈球狀/齒狀鈣化(globular/dentiform calcification),此為畸胎瘤最具特徵性的 CT 表現之一
- 囊性成分:病灶整體呈囊性低密度,內含上述鈣化
- 病灶位置:位於下腹部骨盆腔,符合卵巢來源病灶
- Rokitansky protuberance(Rokitansky 突起):成熟囊性畸胎瘤中典型可見此實性結節突入囊腔,本圖可見高密度結構,符合此特徵
CT 診斷畸胎瘤的關鍵特徵(敏感度高達 98%):
- 脂肪密度(fat attenuation,-40 至 -120 HU)
- 鈣化或牙齒狀高密度(calcification/tooth-like hyperdensity)
- Rokitansky 突起
- 脂肪-液體分界(f
...(解析預覽)...
![醫師[2] - 卵巢良性病變與先天異常 - AI 圖文解析預覽](/_next/image?url=https%3A%2F%2Fbgvxfcrmbdvefjhuvrmt.supabase.co%2Fstorage%2Fv1%2Fobject%2Fpublic%2Fvisual-explanations%2F694%2F46362_t643n4l0x.webp&w=3840&q=75)
升級 VIP 解鎖圖文解析