107年:醫學六(1)
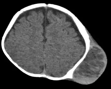
一位新生兒出生後有一巨大的頭皮血腫塊,臨床醫師安排電腦斷層以確定其病因,檢查發現該血腫塊侷限於左側頂骨 ( parietal bone )的範圍(如圖),而三個月後再追蹤的電腦斷層也見到吸收後的血腫塊出現鈣化,其最可能診斷是: 
ACaput succedaneum
BSubgaleal hematoma
CCephalohematoma
DSubdural hematoma
詳細解析
本題觀念:
本題考查新生兒頭皮血腫的鑑別診斷,核心在於區分 cephalohematoma(頭皮骨膜下血腫)、caput succedaneum(產瘤/胎頭先露水腫)、subgaleal hematoma(帽狀腱膜下血腫)和 subdural hematoma(硬膜下血腫)。關鍵線索為:血腫侷限於左側頂骨範圍(不跨縫線)+三個月後出現鈣化。
影像分析:
本電腦斷層影像為新生兒頭部橫切面,可見以下特徵:
- 頭皮外層巨大血腫:影像右側(對應解剖左側)可見一巨大頭皮凸起血腫,密度高於腦組織,位於顱骨外層
- 侷限性(suture-limited):血腫邊界清楚,侷限於單一顱骨(左側頂骨,parietal bone)範圍內,未跨越顱縫(cranial sutures),此為 cephalohematoma 最關鍵的診斷特徵
- 顱骨外層病灶:血腫位於骨膜下(subperiosteal),深於帽狀腱膜(galea aponeurotica)
- 顱內結構正常:腦實質無出血或受壓跡象,排除硬膜下血腫或腦內出血
- 後續追蹤:題目描述三個月後再次 CT 顯示血腫吸收後出現鈣化,符合 cephalohematoma 骨化/鈣化的自然病程
選項分析
(A) Caput succedaneum(產瘤) Caput
...(解析預覽)...
![醫師[2] - 分娩與週產期照護 - AI 圖文解析預覽](/_next/image?url=https%3A%2F%2Fbgvxfcrmbdvefjhuvrmt.supabase.co%2Fstorage%2Fv1%2Fobject%2Fpublic%2Fvisual-explanations%2F694%2F46364_t3v121m00.webp&w=3840&q=75)
升級 VIP 解鎖圖文解析