106年:醫學二(2)
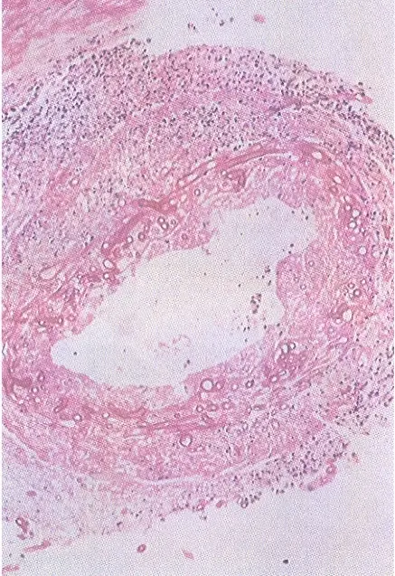
一名罹患慢性白血病的女孩化療並未完全得到緩解,六個月後, X光檢查發現右中肺葉浸潤。接著大腦出現壞死,其鏡下所見如圖,則所見到的是: 
A細菌
B黴菌
C病毒
D白血病細胞
詳細解析
本題觀念:
本題考察免疫功能低下患者(白血病化療後)發生肺部浸潤後繼發大腦壞死的致病微生物鑑別。核心知識點是:免疫低下患者(特別是中性球低下症,neutropenia)高度易感侵襲性黴菌感染,且黴菌(尤其是麴菌,Aspergillus)具有明顯的嗜血管侵襲性(angioinvasion),可循血液播散至大腦,造成出血性梗塞與壞死。
影像分析:
本題圖片為 H&E 染色的大腦組織切片,鏡下所見:
- 中心結構:可見一個類圓形管腔(血管斷面),管腔內呈淡粉紅色,管腔開放但周圍有病理改變
- 血管壁層次:管壁周圍可見同心圓狀(concentric)排列的粉紅色纖維樣物質,呈洋蔥皮樣(onion-skin pattern)包繞血管
- 嗜血管侵襲:血管壁及其周圍可見細小絲狀結構(菌絲,hyphae),這些結構穿透血管壁,形成典型的黴菌性血管侵襲(fungal angioinvasion)圖像
- 周圍組織:血管外圍背景可見壞死組織及炎症細胞浸潤,與缺血性梗塞/出血性壞死一致
- 整體印象:此圖顯示黴菌(最符合麴菌 Aspergillus)侵犯腦部血管壁,造成嗜血管性侵襲與周圍組織壞死,為侵襲性麴菌病(invasive aspergillosis)的典型病理表現
選項分析
(A) 細菌 — 不符合 細菌性腦
...(解析預覽)...
![醫師[1] - 神經骨骼與皮膚病理 - AI 圖文解析預覽](/_next/image?url=https%3A%2F%2Fbgvxfcrmbdvefjhuvrmt.supabase.co%2Fstorage%2Fv1%2Fobject%2Fpublic%2Fvisual-explanations%2F696%2F46568_t5x4h2w6d.webp&w=3840&q=75)
升級 VIP 解鎖圖文解析