108年:(醫檢)血液(1)
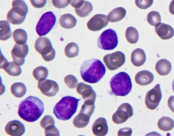
承上題【⼩章最近 臉⾊蒼⽩,醫師發現他⾎中⽩⾎球超標(過⾼),⾎液抹片如下圖。下列何者是最可能的診斷? 】,下列何種表⾯標記組合最能代表圖中的腫瘤細胞? 
ACD5(+)CD19(+)CD23(+)
BCD5(+)CD19(-)CD23(+)
CCD5(-)CD19(+)CD23(+)
DCD5(+)CD19(+)CD23(-)
詳細解析
本題觀念:
本題承接上題 CLL 的診斷,進一步測驗 CLL 腫瘤細胞的免疫表現型(immunophenotype)。CLL 的流式細胞術(flow cytometry)免疫分型是確診的關鍵,其中 CD5、CD19、CD23 的表達組合是辨別 CLL 與其他 B 細胞淋巴增生性疾病的核心依據。
影像分析:
此圖與上題為同一張血液抹片,顯示大量中等大小、形態成熟的淋巴球,細胞核深染、染色質濃縮,胞質量少。細胞形態均一,背景可見正常紅血球。此形態學特徵支持慢性淋巴球增生性疾病,而表面標記的確認則需仰賴流式細胞術進行免疫分型。
選項分析
(A) CD5(+)CD19(+)CD23(+) ✅ 這是 CLL 的典型且最具診斷特異性的免疫表現型組合。
- CD19(+):B 細胞泛標記,確認腫瘤細胞為 B 細胞來源
- CD5(+):正常情況下為 T 細胞標記,但 CLL 腫瘤細胞異常表達 CD5;此為 CLL 最重要的特徵之一
- CD23(+):低親和力 IgE 受體,CLL 腫瘤細胞表達,是區分 CLL 與套細胞淋巴瘤(mantle cell lymphoma, MCL)的關鍵標記
完整 CLL 免疫表現型:CD5⁺、CD19⁺、CD20(dim)⁺、CD23⁺、CD200⁺、sIg(dim)⁺,FMC-7(
...(解析預覽)...

升級 VIP 解鎖圖文解析