107年:(醫檢)血液(1)
下圖所示的流式細胞儀 (flow cytometry )分析圖及腫瘤細胞的型態圖,最可能的診斷是下列何者?

Aacute lymphoblastic leukemia
Bchronic lymphocytic leukemia
Cmucosa-associated lymphoid tissue (MALT )lymphoma
Dmantle cell lymphoma
詳細解析
本題觀念:
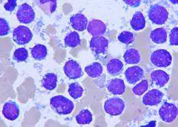
本題考核流式細胞儀(flow cytometry)免疫表型分析結合骨髓型態學,對淋巴系惡性腫瘤的鑑別診斷能力。題目提供了一張骨髓塗片型態圖與六張流式細胞儀雙色散點圖,考生需整合免疫表型特徵做出正確診斷。
影像分析:
圖一(骨髓塗片): 骨髓塗片可見大量均一、中等大小的腫瘤細胞,細胞核大、核質比高(high nuclear-to-cytoplasmic ratio),胞質極少,染色質細緻均勻,核仁不明顯或僅隱約可見。背景可見少量正常造血細胞。此型態與淋巴母細胞(lymphoblast)高度吻合,為 ALL 的典型骨髓塗片表現。
圖二(CD34 vs HLA-DR/Ia): 散點圖顯示主要細胞群落位於左上象限(CD34⁻/HLA-DR⁺),佔 85.7%,表示腫瘤細胞強陽性表現 HLA-DR,但 CD34(幹細胞標記)呈陰性或低表現。HLA-DR 陽性為 B-ALL 的常見特徵。
圖三(CD19 vs CD5): 98.4% 的細胞落在 CD19⁺/CD5⁻ 象限,確認為 B 淋巴系 腫瘤,且不共同表現 CD5(CD5 陰性排除 CLL 及大多數 MCL)。
圖四(CD20 vs CD10): 細胞群主要分布於 CD20⁻/CD10⁺(66.7%)及 CD20⁺/CD10⁺(24.9%)象限,顯示 **CD10
...(解析預覽)...

升級 VIP 解鎖圖文解析