106年:醫學三(2)
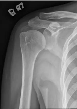
一名 50 歲婦女,其主訴為突發性右肩嚴重疼痛,先前使用消炎鎮痛劑數天,卻無法有效緩解。到院時,右肩活動困難,觸診時 subdeltoid bursa 有明顯壓痛,尿酸 8.0 mg/dL ,rheumatoid factor 30 U/mL (正常<20 ),經由 X光及 MRI 照相結果如圖示,下列何種疾病最有可能?

A痛風關節炎
B類風濕性關節炎
Capatite 晶體引發之關節炎
D冰凍肩(frozen shoulder )
詳細解析
本題觀念:
本題考查晶體沉積性關節炎(crystal deposition arthropathy)的鑑別診斷,重點在於辨識羥磷灰石(hydroxyapatite, HA)晶體沉積疾病,又稱 apatite 晶體沉積病(calcium apatite deposition disease, CADD),其典型臨床表現、影像所見與鑑別診斷特徵。
影像分析:
本題提供右肩的 X 光及 MRI 影像各一張:
X 光影像(圖一): 右肩(標記 R)X 光可見肱骨大結節(greater tuberosity)上方、腱板(rotator cuff)走行區域,有一明顯的圓形、緻密高密度鈣化沉積灶(calcific deposit),邊緣清晰,呈均質性高密度,位置對應棘上肌腱(supraspinatus tendon)及 subdeltoid bursa 附近。骨質本身無明顯骨侵蝕或關節間隙狹窄,無痛風石(tophus)的典型位置,符合 apatite 晶體(calcium hydroxyapatite)軟組織鈣化的典型 X 光表現。
MRI 影像(圖二): T2 加權 MRI 影像顯示棘上肌腱及 subdeltoid bursa 區域有低訊號(T2 hypointense)病灶,對應鈣化沉積(calcific deposit),周圍可見**高
...(解析預覽)...
![醫師[2] - 關節炎及結晶性關節病 - AI 圖文解析預覽](/_next/image?url=https%3A%2F%2Fbgvxfcrmbdvefjhuvrmt.supabase.co%2Fstorage%2Fv1%2Fobject%2Fpublic%2Fvisual-explanations%2F917%2F60768_t1e1v4s6z.webp&w=3840&q=75)
升級 VIP 解鎖圖文解析