106年:醫學三(2)
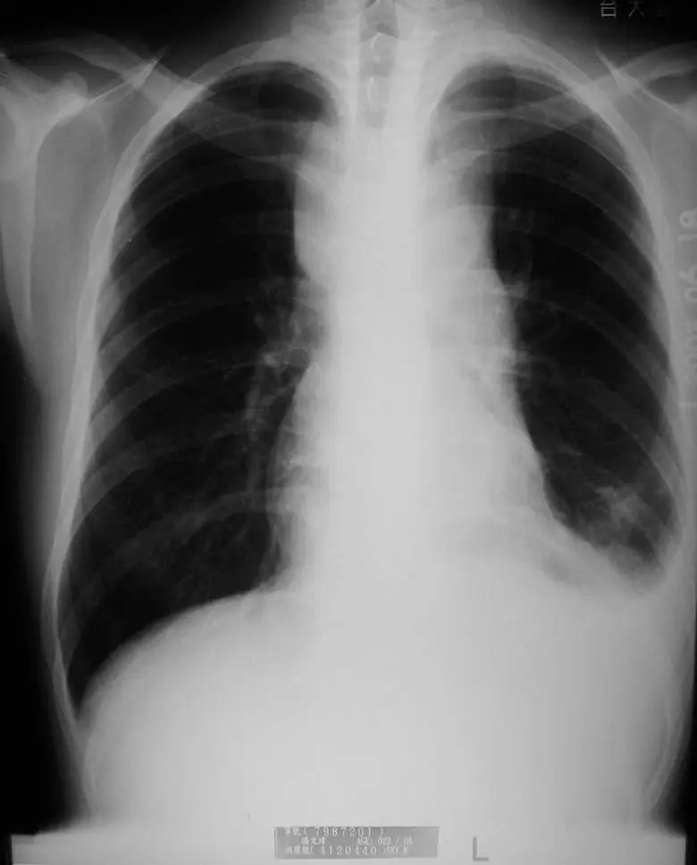
一位 18 歲男性因頸部淋巴結腫大應診,抽血檢查發現血紅素為 12.5 gm/dL ,白血球 3550/ µL,其中 blast 2% ,血小板 135000/ µL。胸部 X光如圖所示。此病人最可能的診斷為何? 
Aprecursor B cell lymphoblastic lymphoma/leukemia
Bprecursor T cell lymphoblastic lymphoma/leukemia
CBurkitt's lymphoma
Dadult T cell lymphoma/leukemia
詳細解析
本題觀念:
本題考察前驅性淋巴母細胞淋巴瘤/白血病(precursor lymphoblastic lymphoma/leukemia, LBL/ALL)的鑑別診斷。關鍵在於整合臨床表現、周邊血液檢查結果,以及胸部 X 光影像,區分 T 細胞型與 B 細胞型 LBL 及其他淋巴瘤。
影像分析:
胸部正面 X 光(CXR)顯示右側前縱膈出現顯著的縱膈腔增寬(mediastinal widening)及前縱膈腫塊(anterior mediastinal mass),腫塊邊緣清晰,向右側肺野突出,壓迫右側正常肺實質。左側肺野相對清晰,心臟輪廓大致正常。無明顯胸腔積液或肺浸潤跡象。
前縱膈腫塊(anterior mediastinal mass)的鑑別診斷記憶口訣為「4 T's」:
- Thymoma(胸腺瘤)
- Teratoma/Germ cell tumor(畸胎瘤/生殖細胞腫瘤)
- Terrible lymphoma(淋巴瘤)
- Thyroid(甲狀腺腫延伸)
在 18 歲青少年男性合併頸部淋巴腺腫大及周邊血液異常的情境下,淋巴瘤(尤其是 T-LBL)是最優先考慮的診斷。
選項分析
**(A) precursor B cell lymphoblastic lymphoma/leukemia(前驅
...(解析預覽)...
![醫師[2] - 白血病、淋巴瘤及骨髓疾病 - AI 圖文解析預覽](/_next/image?url=https%3A%2F%2Fbgvxfcrmbdvefjhuvrmt.supabase.co%2Fstorage%2Fv1%2Fobject%2Fpublic%2Fvisual-explanations%2F917%2F60773_t5c0p4r4s.webp&w=3840&q=75)
升級 VIP 解鎖圖文解析