106年:醫學四(2)
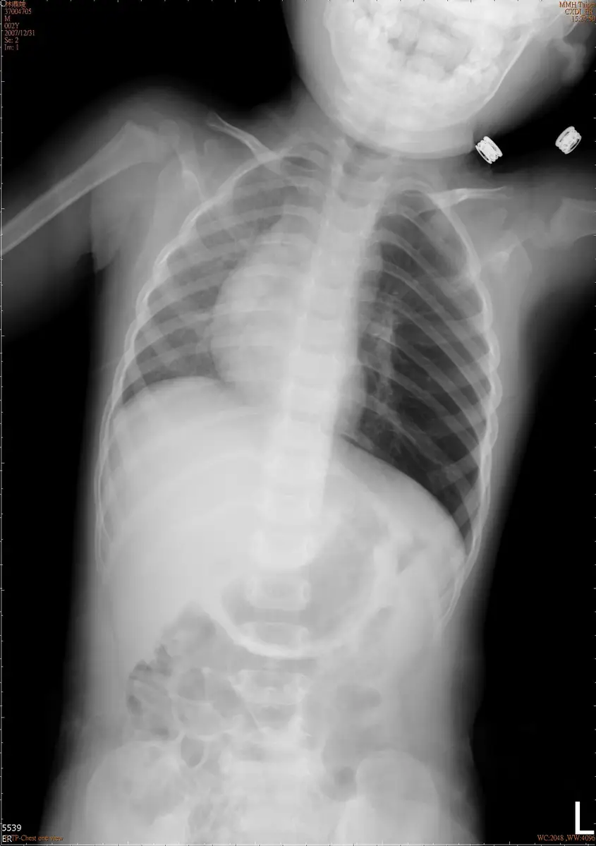
14 個月大的男生,出現咳嗽並有呼吸急促已有 10 天,因為一直沒有發燒,直到媽媽發現他食慾不振的情形才到門診求治,肺部聽診時發現兩側都可以聽到喘鳴聲( wheezing ),左側呼吸音比右側小聲,胸部 X光片檢查如圖所示,下列何者是最有可能的診斷? 
A呼吸道異物
B先天性心臟病
C臟器轉位症候群
D左側氣胸
詳細解析
本題觀念:
小兒呼吸道異物吸入(foreign body aspiration)是 1-3 歲幼兒常見的呼吸道急症。本題結合典型的臨床表現(無發燒、慢性咳嗽、雙側喘鳴、單側呼吸音降低)與胸部 X 光片的特徵影像,考驗考生對「慢性氣道異物」的診斷推理能力。
影像分析:
胸部 X 光片(前後位)顯示:
- 左側肺葉明顯過度充氣(obstructive hyperinflation):左肺野較右肺野透亮度顯著增加(更黑),肋間隙增寬,左側橫膈膜壓低
- 縱膈向右側偏移(mediastinal shift to the right):心臟及縱膈結構向對側移位,此為受阻肺葉過度充氣所推擠的結果
- 右側肺葉相對正常:右側肺紋路清晰,透亮度正常
- 無氣胸表現:左側無臟層胸膜線(visceral pleural line),不支持氣胸診斷
- 機制:異物位於左主支氣管(left main bronchus)造成「活瓣效應(ball-valve mechanism)」——吸氣時氣體可通過異物旁進入肺部,呼氣時因異物阻擋氣體無法完全排出,導致左肺漸進性氣體滯留
選項分析
(A) 呼吸道異物:最可能的診斷。14 個月大男嬰、10 天的無發燒慢性咳嗽、雙側喘鳴(因異物可引起反射性支氣管收縮)、左側呼吸音較小聲、X 光顯示左肺過
...(解析預覽)...
![醫師[2] - 胸腔疾病 - AI 圖文解析預覽](/_next/image?url=https%3A%2F%2Fbgvxfcrmbdvefjhuvrmt.supabase.co%2Fstorage%2Fv1%2Fobject%2Fpublic%2Fvisual-explanations%2F918%2F60813_t1z5j4o5u.webp&w=3840&q=75)
升級 VIP 解鎖圖文解析