106年:醫學四(2)
10 歲女生因發高燒不退、劇烈右側腰痛而住院,注射對比劑後的電腦斷層掃描影像如圖,下列原因何者最為可能? 
A腎盂腎炎
B腎絲球炎
C水腎
D腎動脈栓塞
詳細解析
本題觀念:
本題考的是兒童發高燒合併急性腰痛的鑑別診斷,搭配注射對比劑後的電腦斷層(contrast-enhanced CT, CECT)影像判讀。題目要求根據圖像找出最可能的診斷。
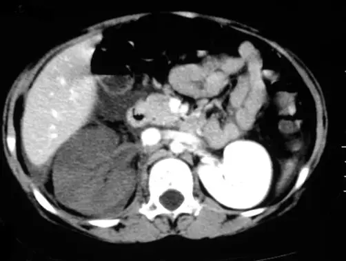
影像分析:
圖片為腹部軸向(axial)CECT 影像。影像右側可見左腎(增強良好,呈均勻高密度),影像左側(患者右側)可見右腎呈現明顯的楔形低密度缺損(wedge-shaped hypodensity),病灶由腎門向腎皮質外緣延伸,呈三角形或楔形分布,範圍廣泛,幾乎涵蓋右腎大部分實質。與對側正常強化的腎臟相比,右腎幾乎完全無法被對比劑充分灌注,提示嚴重的腎臟血流灌注障礙。此楔形低灌注型態是**腎動脈栓塞(renal artery embolism)或腎梗塞(renal infarction)**最具特徵性的影像表現。主動脈及腔靜脈可見強化。
選項分析
(A) 腎盂腎炎(pyelonephritis) 急性腎盂腎炎在 CECT 上可出現條紋狀或楔形低強化區,但通常為多發性、條紋狀(striated nephrogram),且腎盂、輸尿管壁常有增厚強化,腎臟整體大小增大。腎盂腎炎通常不會造成整個腎臟或大範圍腎實質完全無血流灌注的影像。此選項與圖像不符。
(B) 腎絲球炎(glomerulonephritis) 腎絲球炎
...(解析預覽)...
![醫師[2] - 腎臟疾病 - AI 圖文解析預覽](/_next/image?url=https%3A%2F%2Fbgvxfcrmbdvefjhuvrmt.supabase.co%2Fstorage%2Fv1%2Fobject%2Fpublic%2Fvisual-explanations%2F918%2F60888_t420m2g6o.webp&w=3840&q=75)
升級 VIP 解鎖圖文解析