106年:醫學五(2)
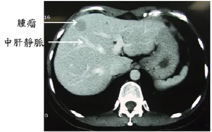
下圖是一位肝癌病人的電腦斷層攝影,根據 Couinaud 等所提出,依照門脈分枝的肝臟解剖學分葉,則腫瘤位於肝臟的那一個小葉? 
A第Ⅱ分葉
B第Ⅳ分葉
C第Ⅵ分葉
D第Ⅷ分葉
詳細解析
本題觀念:
本題考查 Couinaud 肝臟分葉系統(Couinaud liver segmentation)的解剖定位,特別是以門靜脈分枝(portal vein branches)和肝靜脈(hepatic veins)作為分界標準,在電腦斷層攝影(computed tomography, CT)上識別腫瘤位於哪一肝葉分節。
影像分析:
圖片為腹部橫斷面 CT(軸位),可見:
- 右側(解剖右肝):體積較大,密度均勻
- 左側(解剖左肝):可見一個密度略高或強化的病灶(腫瘤),圖中以「腫瘤」箭頭標記
- 中肝靜脈(middle hepatic vein):圖中以「中肝靜脈」箭頭標記,為一線狀低密度血管影,位於腫瘤的右側(即腫瘤在中肝靜脈的左側)
- 腫瘤位置:位於中肝靜脈左側、鐮狀韌帶/臍靜脈裂(umbilical fissure)右側,即解剖左肝的內側段
根據此解剖位置,腫瘤恰好落在 Couinaud 第 IV 葉(Segment IV) 的範圍內。
選項分析
(A) 第Ⅱ分葉 Segment II 位於解剖左肝的外側上方,其邊界為:左肝靜脈(left hepatic vein)的左側、鐮狀韌帶/臍靜脈裂的左側,在 CT 上位於脊椎左前方、肝臟左外後上方。圖中腫瘤位於臍靜脈裂的右側,故不在 Segment I
...(解析預覽)...
![醫師[2] - 肝臟與門靜脈高壓外科 - AI 圖文解析預覽](/_next/image?url=https%3A%2F%2Fbgvxfcrmbdvefjhuvrmt.supabase.co%2Fstorage%2Fv1%2Fobject%2Fpublic%2Fvisual-explanations%2F919%2F60915_t2t3u0t1a.webp&w=3840&q=75)
升級 VIP 解鎖圖文解析