106年:醫學五(2)
一個剛出生五天的嬰兒,有腹部腫脹( abdominal distention )和延遲性胎便排出( delayed meconium passage ),下消化鋇劑攝影顯示如下:此病人最可能的診斷為何? 
A胎便栓塞症候群( meconium plug syndrome )
B細小左結腸症( small left colon syndrome )
C巨結腸症( Hirschsprung's disease )
D直腸閉鎖症( rectal atresia )
詳細解析
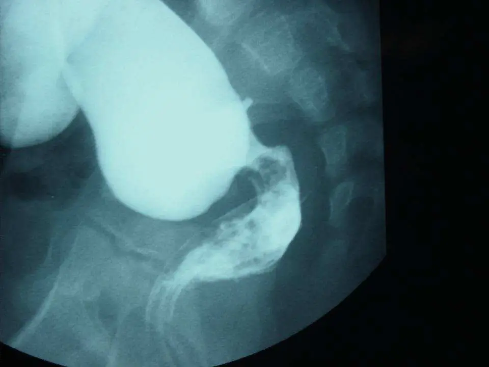
本題觀念:
巨結腸症(Hirschsprung's disease)是新生兒腸道阻塞的重要原因,由於遠端腸道缺乏神經節細胞(aganglionosis)導致功能性阻塞。鋇劑攝影所見的移行區(transitional zone)是診斷關鍵影像學特徵。
影像分析:
本圖為新生兒下消化道鋇劑攝影(lower GI contrast study / barium enema),側位(lateral view)影像。
主要影像發現:
- 影像上可見明顯的移行區(transitional zone):近端腸道顯著擴張,充滿鋇劑呈現較大口徑的含鋇腸管;往遠端直腸方向可見管腔明顯縮窄
- 縮窄的遠端腸段(直腸/乙狀結腸遠端)呈相對細小口徑,為無神經節細胞區段
- 近端的擴張腸管與遠端狹窄段之間,呈典型漏斗狀(funnel-shaped)移行
- 骨盆腔骨骼(薦椎、髂骨)清晰可見,確認為側位骨盆攝影
影像學意義: 此移行區(transitional zone)是巨結腸症最重要的影像學診斷依據。正常嬰兒的直腸口徑應大於乙狀結腸(直腸作為糞便蓄積之用),Hirschsprung's disease 時因無神經節細胞段(aganglionic segment)無法正常舒張,導致直腸較乙狀結腸細小,稱為直腸乙狀結腸比值(rectosigmoid index)倒轉
...(解析預覽)...
![醫師[2] - 小兒消化道與膽道外科 - AI 圖文解析預覽](/_next/image?url=https%3A%2F%2Fbgvxfcrmbdvefjhuvrmt.supabase.co%2Fstorage%2Fv1%2Fobject%2Fpublic%2Fvisual-explanations%2F919%2F60946_t6n1r0g3i.webp&w=3840&q=75)
升級 VIP 解鎖圖文解析