106年:醫學五(2)
承上題【一個剛出生五天的嬰兒,有腹部腫脹( abdominal distention )和延遲性胎便排出( delayed meconium passage ),下消化鋇劑攝影顯示如下:此病人最可能的診斷為何? 】,上述疾病的手術治療方法,下列何者錯誤? 
ASoave 氏法
BRamstedt 氏法
CDuhamel 氏法
DSwenson 氏法
詳細解析
本題觀念:
本題承接上題巨結腸症(Hirschsprung's disease)的診斷,考核外科手術治療方式。巨結腸症的手術原則為切除無神經節細胞腸段,並將正常腸道拉至肛門吻合(pull-through procedure)。Ramstedt 氏法並非巨結腸症的手術方式,而是用於嬰兒肥厚性幽門狹窄(hypertrophic pyloric stenosis)的幽門切開術(pyloromyotomy)。
影像分析:
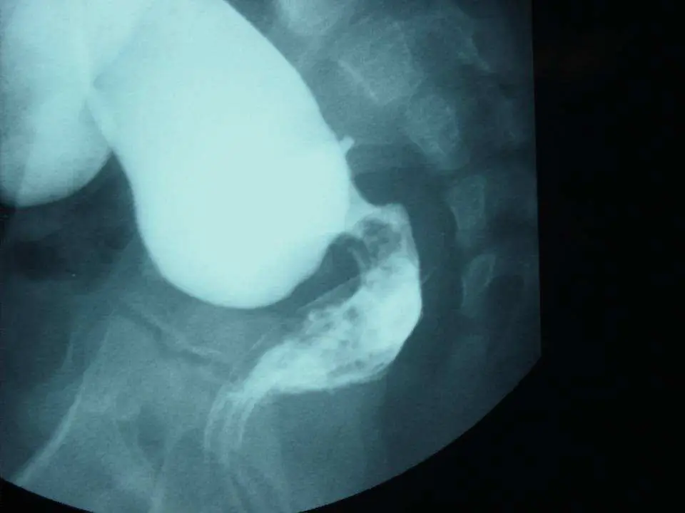
本題影像與上題相同,為同一位新生兒的下消化道鋇劑攝影(barium enema)側位影像。
影像發現(同上題):
- 典型的近端腸道擴張合併遠端直腸/乙狀結腸移行區(transitional zone)
- 近端大口徑充鋇腸管(正常有神經節細胞段,繼發性擴張)
- 遠端狹窄段(aganglionic segment,功能性痙攣)
本題影像作為「承上題」的參照,確認診斷為巨結腸症後,進一步評估手術選項。
選項分析
本題為反向題(問「何者錯誤」),即哪一個手術方式不是巨結腸症的治療方法。
(A) Soave 氏法 ✅(正確屬於巨結腸症手術) Soave 手術(1964 年由 Soave 提出):黏膜下直腸肌鞘剝離術(endorectal pull-through)。操作要點:保留直腸外層肌鞘,剝除直腸黏膜及黏膜
...(解析預覽)...
![醫師[2] - 小兒消化道與膽道外科 - AI 圖文解析預覽](/_next/image?url=https%3A%2F%2Fbgvxfcrmbdvefjhuvrmt.supabase.co%2Fstorage%2Fv1%2Fobject%2Fpublic%2Fvisual-explanations%2F919%2F60947_t446p5q51.webp&w=3840&q=75)
升級 VIP 解鎖圖文解析