106年:醫學五(2)
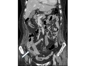
病人主訴右下腹逐漸悶痛、腹脹、反胃一整天。腹部電腦斷層檢查呈現如附圖。箭號所指之異常最符合下列那一項初診斷? 
Acecal diverticulitis
Bacute appendicitis
Cmesenteric adenitis
Dcolon cancer
詳細解析
本題觀念:
急性闌尾炎(acute appendicitis)是最常見的腹部外科急症,電腦斷層(computed tomography, CT)是目前診斷右下腹疼痛的首選影像工具,敏感度達 95%、特異度達 94%。CT 能清楚顯示闌尾本身的變化及周圍發炎反應,協助與其他右下腹病灶鑑別診斷。
影像分析:
本題提供一張腹部電腦斷層**冠狀面(coronal plane)**重建影像:
- 影像顯示腹腔與骨盆腔的冠狀切面,右側腸道結構清晰可見
- 箭號指向右下腹(右骼窩區域),指向一個管狀、盲端、壁增厚的結構,代表發炎腫脹的闌尾(appendix)
- 該結構直徑明顯擴大(視覺上超過正常 6 mm 閾值),管壁增厚並有強化(wall enhancement)
- 箭號所指區域周圍可見脂肪絞窄(periappendiceal fat stranding)——闌尾周圍脂肪密度增高、模糊,代表局部發炎反應向周圍蔓延
- 整體表現:盲端擴張管狀結構 + 壁增厚 + 周圍脂肪絞窄,高度符合急性闌尾炎的 CT 標準診斷特徵
- 未見明顯游離氣體,目前無穿孔的影像證據
選項分析
(A) cecal diverticulitis(盲腸憩室炎) 盲腸憩室炎(cecal diverticulitis)在亞洲族群相對較多見,CT
...(解析預覽)...
![醫師[2] - 外科急症與腫瘤學總論 - AI 圖文解析預覽](/_next/image?url=https%3A%2F%2Fbgvxfcrmbdvefjhuvrmt.supabase.co%2Fstorage%2Fv1%2Fobject%2Fpublic%2Fvisual-explanations%2F919%2F60964_t0c1c0w6x.webp&w=3840&q=75)
升級 VIP 解鎖圖文解析