106年:醫學六(2)
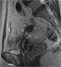
已停經的 56 歲女性病患,主訴不正常陰道出血,磁振造影檢查( T2WI )如下圖。其診斷為何? 
A子宮肌瘤( uterine myoma )
B子宮內膜癌( endometrial cancer )
C子宮頸癌( cervical cancer )
D子宮腔內積血( hematometra )
詳細解析
本題觀念:
停經後不正常陰道出血(postmenopausal bleeding)合併 MRI T2WI 顯示子宮腔內異常訊號腫塊,最重要的鑑別診斷是子宮內膜癌(endometrial cancer)。本題考核學生對骨盆腔 MRI T2WI 影像判讀能力,以及停經後不正常出血的臨床思維。
影像分析:
本題為骨盆腔矢狀面(sagittal)T2WI MRI 影像,觀察要點如下:
- 子宮腔(endometrial cavity):子宮腔明顯擴張,腔內充填不均勻的中等至中高訊號(intermediate to mildly hyperintense)腫塊,訊號強度高於正常肌層(myometrium)但相對不均勻,符合子宮內膜惡性腫瘤的 T2WI 典型表現。
- 子宮肌層(myometrium):周圍肌層呈相對低訊號,與腔內腫塊形成訊號對比,可初步評估肌層侵犯深度(myometrial invasion)。
- 子宮頸(cervix):子宮頸區域結構相對完整,無明顯腫塊取代或破壞,較不支持子宮頸癌(cervical cancer)。
- 整體評估:停經後婦女,子宮腔擴張合併腔內不均勻中等訊號腫塊,臨床上高度懷疑子宮內膜癌,MRI 表現與文獻描述的子宮內膜癌 T2WI 特徵相符。
選項分析
**(A) 子宮肌瘤(uterine m
...(解析預覽)...
![醫師[2] - 子宮惡性腫瘤 - AI 圖文解析預覽](/_next/image?url=https%3A%2F%2Fbgvxfcrmbdvefjhuvrmt.supabase.co%2Fstorage%2Fv1%2Fobject%2Fpublic%2Fvisual-explanations%2F920%2F61043_t5m2s682z.webp&w=3840&q=75)
升級 VIP 解鎖圖文解析