106年:醫學三(1)
林老太太因為咳嗽兩個月且體重減輕,至門診就醫,胸部 X光如圖所示,最可能的診斷為: 
A黴漿菌肺炎
B支氣管擴張症
C肺癌
D肺氣腫
詳細解析
本題觀念:
本題考核胸部 X 光的判讀能力,以及肺癌(lung cancer)的典型影像特徵與臨床表現的綜合判斷。肺癌是台灣最常見的癌症死因之一,中央型肺癌(central-type lung cancer)常以肺門腫塊(hilar mass)為主要影像學表現,結合慢性咳嗽與不明原因體重減輕的病史,高度提示惡性腫瘤診斷。
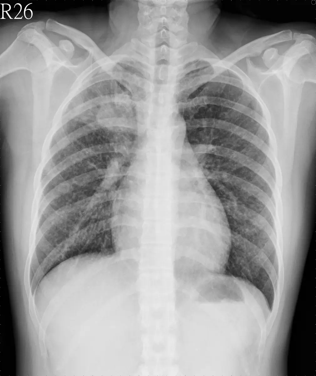
影像分析:
本題提供一張胸部 X 光正面片(PA view):
主要發現:
- 右肺門及右上肺野:可見一明顯的不規則高密度腫塊(large hilar/perihilar mass),位於右側肺門區域,延伸至右上肺野,形成一大片不均勻緻密影。腫塊邊緣不規則,無清楚分界,呈現惡性腫瘤特徵性的分葉或毛刺狀輪廓(lobulated margin)。
- 右側肺門增大:右肺門較左側顯著增大,提示肺門淋巴結腫大(hilar lymphadenopathy)或腫瘤直接侵犯肺門結構。
- 右上肺野透光度降低:右上葉出現大片不透光陰影,可能合併右上葉支氣管阻塞導致的肺萎陷(atelectasis)或腫瘤直接佔據肺實質。
- 左肺及左肺門:相對清晰,無明顯異常。
- 縱膈腔:略有向右側移位的傾向,與右上葉體積縮小(atelectasis)一致。
- 無明顯胸腔積液(pleural effusion):雙側肋
...(解析預覽)...
![醫師[2] - 肺癌及泌尿系統腫瘤 - AI 圖文解析預覽](/_next/image?url=https%3A%2F%2Fbgvxfcrmbdvefjhuvrmt.supabase.co%2Fstorage%2Fv1%2Fobject%2Fpublic%2Fvisual-explanations%2F921%2F61063_t0v3q0t2u.webp&w=3840&q=75)
升級 VIP 解鎖圖文解析