106年:醫學三(1)
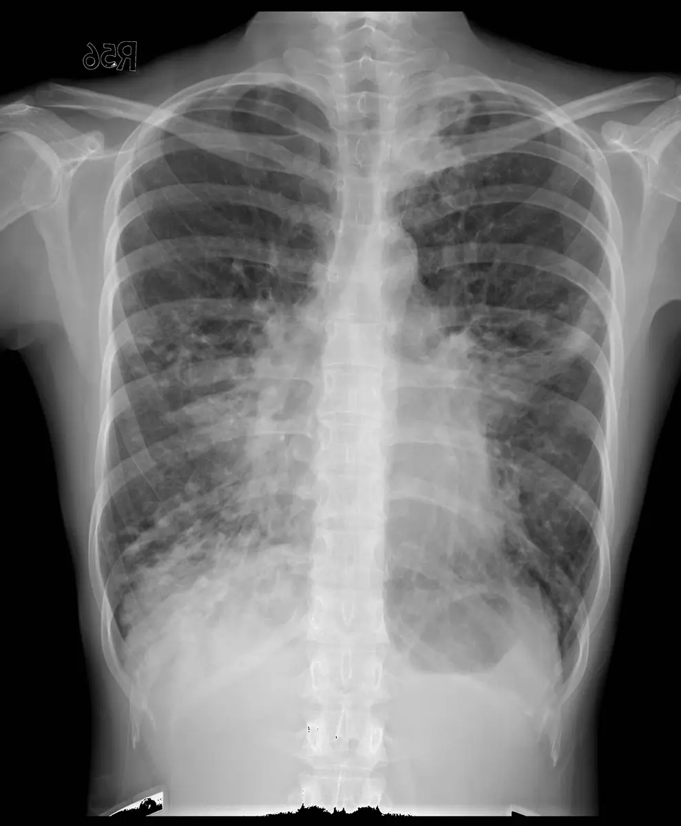
邱女士,因有大量濃痰和咳血至門診就醫,胸部 X光如圖所示,最正確的診斷為: 
A肺栓塞(pulmonary embolism )
B支氣管擴張症( bronchiectasis )
C肺癌(lung cancer )
D肺纖維化( lung fibrosis )
詳細解析
本題觀念:
支氣管擴張症(bronchiectasis)是一種以支氣管永久性異常擴張為特徵的慢性肺部疾病,臨床典型表現為慢性咳嗽、大量膿痰,以及反覆咳血。胸部 X 光可見特徵性的電車軌道徵象(tram-track sign)與環狀陰影(ring shadows),是本題診斷的關鍵。
影像分析:
本題胸部 X 光(後前位,posteroanterior view)顯示:
- 雙側肺野:可見瀰漫性增加的支氣管血管紋理(bronchovascular markings),以中下肺野最為明顯
- 環狀陰影(ring shadows):雙側肺野可見多個小環狀透亮影,代表支氣管橫切面的管壁增厚與管腔擴張,為支氣管擴張症的典型表現
- 電車軌道徵象(tram-track sign):沿支氣管走向可見平行的線狀緻密影,反映支氣管壁增厚且管腔失去正常收窄的特性
- 肺紋理紊亂:整體肺紋理較正常粗亂,伴有局部密度不均勻增加,可能反映黏液栓塞或反覆感染後的纖維化改變
- 心臟及縱膈:大小及位置基本正常,無明顯移位
- 未見:局部實變(consolidation)、氣胸、大量肋膜積液,排除急性大葉性肺炎或肺栓塞的典型影像
上述影像特徵結合病人「大量濃痰與咳血」的臨床表現,高度符合支氣管擴張症的診斷。
選項分析
**(A) 肺栓塞
...(解析預覽)...
![醫師[2] - 間質性肺病及肋膜疾病 - AI 圖文解析預覽](/_next/image?url=https%3A%2F%2Fbgvxfcrmbdvefjhuvrmt.supabase.co%2Fstorage%2Fv1%2Fobject%2Fpublic%2Fvisual-explanations%2F921%2F61064_t6p61485n.webp&w=3840&q=75)
升級 VIP 解鎖圖文解析