106年:醫學三(1)
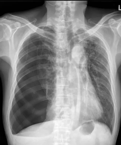
61 歲男性突發性的胸痛、呼吸困難,其胸部 X光如圖示,最主要的診斷為何? 
A肺氣腫
B肺挫傷出血
C氣胸
D肺炎
詳細解析
本題觀念:
本題考核以胸部 X 光影像為基礎的急性胸痛鑑別診斷。61 歲男性突發性胸痛合併呼吸困難,此類表現須快速排除威脅生命的病因,包含氣胸(pneumothorax)、急性主動脈剝離(aortic dissection)、肺栓塞(pulmonary embolism)等。胸部 X 光是最常用的初步影像工具,其中氣胸有特異性的影像學表現,可直接確診。
影像分析:
本題胸部 X 光(後前位,PA view)呈現以下關鍵影像發現:
- 左側臟層肋膜線(visceral pleural line)清晰可見:在左肺外側可見一條銳利的細線,為塌陷肺組織的邊界,為氣胸的最重要診斷依據。
- 胸膜線外側肺紋消失:胸膜線以外(靠近胸壁側)呈現異常高度透亮區域,完全無血管紋路(absent lung markings),此為氣胸的典型表現——空氣積聚於肋膜腔內。
- 左肺部分萎縮(lung collapse):左側肺實質向肺門方向收縮,肺容積明顯縮小。
- 縱膈輕度向右偏移(mediastinal shift):氣胸側壓力升高可推擠縱膈向對側移位,此時需警惕張力性氣胸(tension pneumothorax)的可能。
- 右側肺野正常:右側肺紋路清晰,無浸潤、氣胸或特殊異常。
影像結論:上述表現高度符合左側自發性或繼
...(解析預覽)...
![醫師[2] - 呼吸衰竭、肺栓塞、肺癌及其他胸腔疾病 - AI 圖文解析預覽](/_next/image?url=https%3A%2F%2Fbgvxfcrmbdvefjhuvrmt.supabase.co%2Fstorage%2Fv1%2Fobject%2Fpublic%2Fvisual-explanations%2F921%2F61126_t6k1m3e71.webp&w=3840&q=75)
升級 VIP 解鎖圖文解析