106年:醫學四(1)
6歲女童,偶然發現胸部X光異常,胸部影像如圖,最可能的診斷為下列何者?

A心臟腫瘤
B神經性腫瘤( neurogenic tumor )
C橫膈疝脫( diaphragmatic hernia )
D右肺中葉肺炎
詳細解析
本題觀念:
本題考核後縱膈腔腫瘤(posterior mediastinal mass)在兒童的鑑別診斷。兒童後縱膈腔腫瘤中,約 90% 為神經性腫瘤(neurogenic tumor),包含神經母細胞瘤(neuroblastoma)、神經節神經母細胞瘤(ganglioneuroblastoma)與神經節神經瘤(ganglioneuroma),是此年齡層最重要的鑑別診斷。
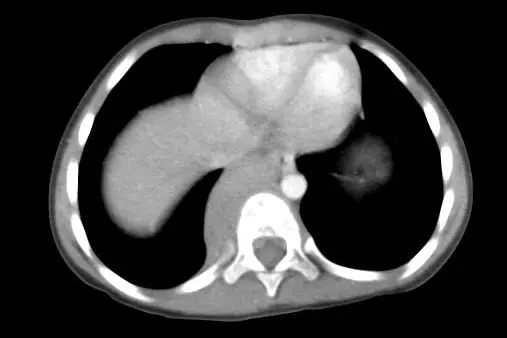
影像分析:
圖一(胸部 X 光正面,PA view): 右側後縱膈腔可見一個邊緣清晰、輪廓平滑的橢圓形高密度軟組織腫塊(soft tissue opacity),位於右側脊椎旁(paravertebral)區域,使右側脊柱旁線(paraspinal line)向外移位,呈現典型後縱膈腔腫瘤的影像特徵。整個腫塊與縱膈腔的交角為鈍角(obtuse angle),符合後縱膈腔腫瘤的表現。左肺野清晰,心臟大小正常。
圖二(胸腹部 CT,軸向切面,疑似下胸段/腎上腺層次): CT 軸向切面顯示右側脊椎旁有一個明顯的均勻軟組織腫塊,緊鄰脊椎右側(paravertebral),邊界清楚,密度均勻,為後縱膈腔腫瘤的典型表現。腫塊位於後縱膈腔,符合來自交感神經節或周邊神經的腫瘤來源。肝臟及左側腎上腺/脾臟區域無明顯異常。此影像特徵高度支持神經性腫瘤的診斷。
選項分析
**(A) 心臟腫
...(解析預覽)...
![醫師[2] - 胸腔疾病 - AI 圖文解析預覽](/_next/image?url=https%3A%2F%2Fbgvxfcrmbdvefjhuvrmt.supabase.co%2Fstorage%2Fv1%2Fobject%2Fpublic%2Fvisual-explanations%2F922%2F61207_t1a423233.webp&w=3840&q=75)
升級 VIP 解鎖圖文解析