106年:醫學五(1)
2 歲男孩因右上肢活動受限,被父母帶來求診,右肘部的 X光檢查結果如附圖,該男孩右上肢活動受限最嚴重的是下列何種動作?

A前臂旋後( forearm supination )
B上臂外旋( arm external rotation )
C手肘彎曲( elbow flexion )
D手腕彎曲( wrist flexion )
詳細解析
本題觀念:
本題考查兒童肘關節骨折脫位的影像學辨識與功能受限判斷。X 光顯示右肘部 Monteggia 骨折脫位(Monteggia fracture-dislocation),為兒童常見的肘部複合損傷,表現為近端尺骨骨折合併橈骨頭(radial head)脫位,直接影響前臂旋轉功能。
影像分析:
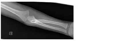
圖一(側位 X 光): 肘關節側位影像可見橈骨頭明顯向前移位,偏離正常與肱骨小頭(capitellum)的對位關係(radio-capitellar line 中斷)。近端尺骨可見骨折線,整體呈現前方橈骨頭脫位合併尺骨骨折的典型 Monteggia 第一型(Bado Type I)外觀。
圖二(前後位 X 光): 前後位影像清楚顯示橈骨頭自肱骨小頭之正常關節面脫出,移位至前外側。橈骨與尺骨的排列關係明顯異常,近端至中段尺骨可見骨折,進一步確認 Monteggia 骨折診斷。此影像為辨認橈骨頭脫位方向的關鍵視圖。
選項分析
(A) 前臂旋後(forearm supination) ← 正確答案 橈骨頭是前臂旋轉的核心樞軸,透過環狀韌帶(annular ligament)固定於橈骨切迹(radial notch of ulna)上,與肱骨小頭共同形成肱橈關節(humeroradial joint)。橈骨頭脫位後,旋後肌(s
...(解析預覽)...
![醫師[2] - 上肢骨折與損傷 - AI 圖文解析預覽](/_next/image?url=https%3A%2F%2Fbgvxfcrmbdvefjhuvrmt.supabase.co%2Fstorage%2Fv1%2Fobject%2Fpublic%2Fvisual-explanations%2F923%2F61273_t3a0t0h53.webp&w=3840&q=75)
升級 VIP 解鎖圖文解析