106年:醫學五(1)
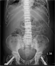
75 歲男性,副甲狀腺素血液濃度上升,腹部 X光檢查如附圖,其脊椎骨的變化為何? 
Arenal osteodystrophy
Bankylosing spondylitis
Cmetastasis
Dosteomyelitis
詳細解析
本題觀念:
本題考查繼發性副甲狀腺功能亢進(secondary hyperparathyroidism)導致腎性骨病(renal osteodystrophy)的特徵性脊椎影像——「Rugby Jersey Spine(橄欖球衫脊椎)」,以及在 PTH 升高背景下的 X 光鑑別診斷能力。
影像分析:
腹部 X 光(前後位)顯示腰椎及骨盆影像,重點發現如下:
- 脊椎椎體(vertebral bodies):多節腰椎椎體呈現交替帶狀高密度影,椎體上下緣終板(endplates)明顯硬化(sclerotic),而椎體中央相對透亮(lucent)。這種「密—透—密」交替的橫帶狀外觀酷似橄欖球衫(rugby jersey)的橫條紋圖案,即為經典的 Rugger Jersey Spine 表現。
- 多節連續受累:硬化改變見於多個連續椎體,而非局限於單一節段,與腫瘤轉移或感染的局灶性改變不同。
- 無椎間隙狹窄:椎間盤高度保留,可與感染(椎間盤炎)或退化性疾病區別。
- 骨盆骨:可見骨密度改變,與全身性代謝性骨病一致。
整體影像結合病史(75 歲男性、PTH 升高)高度支持**腎性骨病(renal osteodystrophy)**的診斷。
選項分析
(A) renal osteodystrophy ← **正確
...(解析預覽)...
![醫師[2] - 內分泌外科學 - AI 圖文解析預覽](/_next/image?url=https%3A%2F%2Fbgvxfcrmbdvefjhuvrmt.supabase.co%2Fstorage%2Fv1%2Fobject%2Fpublic%2Fvisual-explanations%2F923%2F61283_t5l2f5r40.webp&w=3840&q=75)
升級 VIP 解鎖圖文解析