106年:醫學五(1)
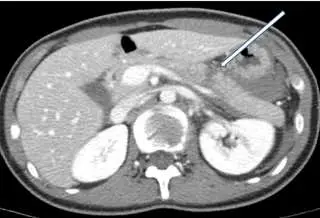
中年男性車禍傷患主訴上腹部劇痛,血壓呈現穩定狀態。電腦斷層檢查如附圖。箭頭所指之異常最可能是下列那一項 初診斷? 
Aliver laceration
Bcolon laceration
Cpancreas laceration
Dmesentery laceration
詳細解析
本題觀念:
本題考查腹部鈍傷後的電腦斷層(CT)影像判讀,核心在於辨識胰臟撕裂傷(pancreatic laceration)的影像特徵,並與其他腹部器官傷害進行鑑別診斷。
影像分析:
本題附圖為腹部軸切面 CT 影像(增強掃描)。影像中可辨識以下結構:中央偏後方為脊椎,兩側為腎臟(呈明顯增強的豆狀構造),左側為脾臟(影像左上方),右側可見肝臟(影像右側低密度組織)。白色箭頭指向影像左側中央區域,對應解剖位置為胰臟體部/尾部(pancreatic body/tail)。
箭頭所指處可見:
- 胰臟實質內出現低密度不均勻區域,提示胰臟撕裂傷(laceration)或挫傷(contusion)
- 胰臟周圍(peripancreatic)有液體積聚,呈現低密度影,延伸至胰臟後方的腹膜後腔(retroperitoneal space)
- 周圍脂肪組織密度增高(fat stranding),提示局部炎症或出血
此 CT 表現符合胰臟撕裂傷的典型直接與間接徵象。腹部鈍傷後的中線附近上腹部劇痛,加上此影像發現,最可能的診斷為胰臟撕裂傷。
選項分析
(A) liver laceration(肝臟撕裂傷) 肝臟撕裂傷的 CT 影像通常在肝臟實質內可見低密度線狀或不規則缺損,伴隨肝周積液(perihepatic flui
...(解析預覽)...
![醫師[2] - 創傷管理與急救 - AI 圖文解析預覽](/_next/image?url=https%3A%2F%2Fbgvxfcrmbdvefjhuvrmt.supabase.co%2Fstorage%2Fv1%2Fobject%2Fpublic%2Fvisual-explanations%2F923%2F61284_t6t1w0q09.webp&w=3840&q=75)
升級 VIP 解鎖圖文解析