104年:內專
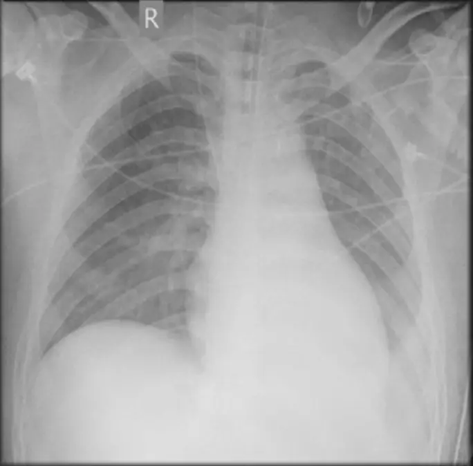
吳先生現年20歲,一向健壯,從事建築粗工,於3月22日有感冒流鼻水、發燒及咳嗽症狀,三天後更有全身倦怠及暈厥,乃至心疼,因心電圖及胸X光異常(如圖),而從急診住院。理學檢查:Consciousness: drowsy, E3VTM4;T:37.5 P:93 R:16及BP:82/65 mmHg; 頸靜脈怒張; 胸部有濕濁呼吸音; 心臟未有擴大,心音略為微弱,尚無S3或S4及心臟雜音可聞; 腹部未有腹水或肝脾腫大; 雙腳未見水腫。實驗室檢查:WBC,8.37 K/uL;RBC,4.35 M/uL;Plt,128 K/uL; Hb, 13.0 gm/dL;CK,514 U/L;CK-MB,43 U/L; Troponin I, 2.6 ug/L; CRP, 5.6 mg/dL。 本病人隨即進行下列臨床決策: (1) Continuous IV infusion of Dopamine at the dose of 7.8 mcg/kg/min,以穩定血壓及心跳及血氧 (2) 使用IV Heparin at the dose of 1000 u/hour,以預防血栓的形成 (3) 3月27日因持續性Ventricular tachycardia,採用Electric cardioversion不盡有效,而置放V-A ECMO及IABP (4) 3月28日進行Left ventricular assisted device,以維持左心室功能 (5) 3月29日Myocardial biopsy之病理確診後,使用IVIG,也使用Prednisolone、Cyclosporine及Azathioprine (6) 病情在3月31日後於焉穩定 從診斷及處置,本病例的處置尚稱成功。請問下列何者才是Evidence-based management?
A從病史、理學檢查及Troponin I 或CRP的數值可確定診斷
B從胸部X光及心電圖可確定診斷
C從病程血行力學之不穩定,應逕行Myocardial biopsy
D使用Immunosuppressive agents:Prednisolone及Cyclosporine是本例治療成功的重要因素
E使用IVIG(Intravenous immunoglobulin)才是救命的要訣
詳細解析
本題觀念:
本題考察急性心肌炎(acute myocarditis)的診斷與「以實證醫學為基礎(evidence-based)的處置」。重點在於識別哪些決策符合現行實證依據,哪些屬於尚未獲得充分實證支持的治療策略。
影像分析:
圖一:心電圖(Electrocardiography, ECG) 12 導聯心電圖,速率 25 mm/s,10 mm/mV。整體分析:
- 廣泛性低電壓(diffuse low voltage):肢體導聯 QRS 電壓普遍偏低,尤其 I、II、III、aVL 明顯
- 瀰漫性 ST-T 改變:多導聯可見 ST 段輕度抬高或壓低,及 T 波倒置(T wave inversion),不符合單一冠狀動脈分佈(non-territorial pattern)
- V1-V3 可見 QRS 形態改變:右側胸前導聯 QRS 改變,V4 以降可見相對深的 Q 波
- 心率約 93 次/分(與題目 P: 93 吻合),為規則竇性心律(sinus tachycardia)
- 此心電圖表現符合急性心肌炎的典型 ECG 特徵:瀰漫性 ST-T 改變、低電壓、非冠狀動脈分佈的 Q 波,不同於急性心肌梗塞(acute myocardial infarction, AMI)的局部 ST 抬高
**圖二:胸部X光(Ch
...(解析預覽)...

升級 VIP 解鎖圖文解析