104年:內專
男性病人現年60歲,於清晨6時突然胸悶、冷汗,自覺伴有後背及腹部酸疼,病人由家屬急送醫院。病人有多年高血壓及痛風病,服用Losartan(50mg) 1tabQD; Amlodipine(5mg) 1tabQD;Colchicine(0.5mg)1 tabQD;Benzbromarone(100mg) 1tabQD;Atorvastatin 0.5 Tab /HS等藥中。身體檢查,呈現急病狀,臉色蒼白,體溫: 36.2℃,脈跳: 66/min,呼吸: 23/min;BP: 252/114mmHg;意識清楚;胸部及腹部尚無異常,心律正常,S1及S2正常,未有S3或S4,無心臟雜音可聞,也無paradoxical split of S2,神經檢查正常。其時實驗室檢查如圖表。下列何者是正確的診斷?
AAcute myocardial infarction
BAortic dissection
CHypertensive crisis
DPulmonary embolism
EAortic stenosis
詳細解析
本題觀念:
本題考核主動脈剝離(aortic dissection)的綜合診斷,整合急性胸痛病史、極高血壓、心電圖(無 STEMI 型態)、胸部X光(縱膈增寬)、主動脈 CT(確認剝離與內膜片)及實驗室數據(腎功能受損),訓練考生在多線索情境下做出正確鑑別診斷。
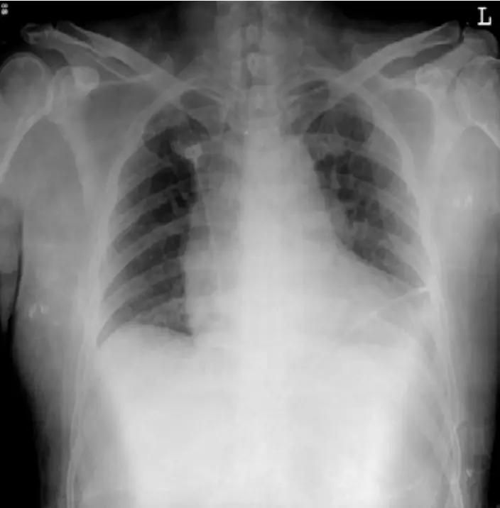
影像分析:
圖一:胸部X光(Chest X-ray,AP view)
本片為 AP 位胸部X光,最關鍵發現為縱膈明顯增寬(widened mediastinum),縱膈上端陰影向左側擴展,主動脈弓輪廓模糊,此為主動脈剝離的典型影像表現,約 60-90% 的主動脈剝離患者可見此變化。肺野無大量肋膜積液,無明顯肺水腫,心臟輪廓尚可辨別。
圖二:12導程心電圖(12-lead ECG,時間標記 2013/12/21 07:39)
心率約 66 bpm,與病人脈搏記錄(66/min)一致,為正常竇性節律。重要陰性發現:前胸導程(V1-V3)無典型 STEMI 型 ST 抬高。可見 V1-V3 有 T 波倒置或 ST 輕微壓低,可能反映右心負荷增加或非特異性缺血改變。下壁及側壁導程(II、III、aVF、I、aVL)無顯著 ST 抬高。整體 ECG 呈現非特異性 ST-T 改變,不符合急性 STEMI 的典型定位診斷,支持主動脈剝離(ECG 可正常或僅見非特異性變化)。
...(解析預覽)...

升級 VIP 解鎖圖文解析