104年:內專
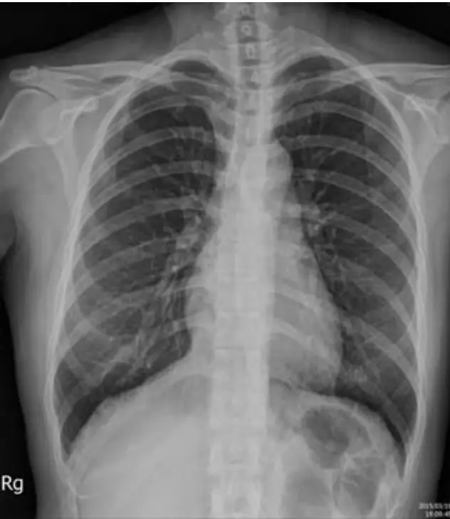
病人是位47歲家庭主婦,自7歲起就診斷有心臟病,18歲懷孕生有一子,過程尚稱順利,近十年來偶有心悸及胸悶,近二年曾有五次昏厥,因此住院。理學檢查及生化檢驗都正常。胸X光及心電圖(如圖)。本病人最有可能的診斷是:
ASupraventricular tachycardia
BWPW syndrome with AVRT
CLong QT syndrome with Torsade de pointes
DMonomorphic ventricular tachycardia from outflow tract
EPolymorphic ventricular tachycardia with Torsade de pointes
詳細解析
本題觀念:
本題考察心律不整的鑑別診斷,尤其是寬QRS波心搏過速(wide QRS complex tachycardia)的判讀。病人為47歲女性,自幼(7歲)即有心臟病史,近十年有心悸及胸悶,近二年有五次昏厥(syncope)。理學檢查與生化檢驗正常,搭配胸部X光與心電圖(含正常竇性心律與心搏過速發作時)進行診斷。正確答案為 (D) 來自右心室流出道的單形性心室頻脈(Monomorphic ventricular tachycardia from outflow tract,RVOT VT)。
影像分析:
圖一(胸部X光,PA view): 胸部後前位X光顯示心臟輪廓正常大小,肺野清晰,無肺水腫、肺充血或肺炎浸潤。無明顯心臟結構異常跡象。此發現與「理學檢查及生化檢驗都正常」相符,提示此心臟病可能並非結構性心臟疾病(structural heart disease),而是功能性心律不整。
圖二(12導程心電圖,竇性心律): 12導程心電圖顯示正常竇性心律,心率規則,QRS波形正常,無預激波(delta wave),排除 WPW syndrome。PR間期正常,QT/QTc間期在正常範圍內,排除 Long QT syndrome。此「正常基礎心電圖」是重要的鑑別診斷線索——若基礎ECG正常,更傾向idiopathic RVOT VT而非L
...(解析預覽)...

升級 VIP 解鎖圖文解析