104年:內專
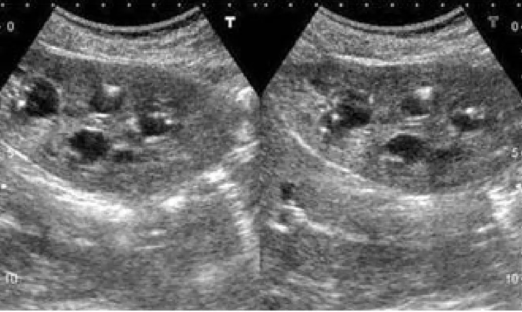
63歲女性病人有高血壓、退化性關節炎之過去史,因腎功能欠佳求診經檢查有尿蛋白++與尿紅血球5-10/HPF。血清肌酸酐 2.2 mg/dL,血紅素10 gm/dL。超音波顯示兩側腎臟均輕度萎縮各約9公分(如圖),請問不可能之診斷為? (1) Myeloma kidney ; (2)nephropathy ; (3)DM nephropathy; (4) Chinese herb nephropathy ; (5)Lithium nephropathy
A(1)+(2)
B(1)+(3)
C(2)+(3)
D(3)+(5)
E(2)+(5)
詳細解析
本題觀念:
本題為腎臟超音波影像判讀與慢性腎病鑑別診斷題。63 歲女性,有高血壓與退化性關節炎史(使用止痛藥),出現蛋白尿(2+)、血尿(5-10 RBC/HPF)、血肌酸酐 2.2 mg/dL、輕度貧血,超音波顯示雙側腎臟均輕度萎縮(各約 9 公分)。考核的是依據「雙側腎臟萎縮」這一重要影像特徵,排除哪些診斷「不可能」成立。題目問的是**「不可能之診斷」**——即以影像與臨床特徵無法解釋者。
影像分析:
超音波圖片顯示左右腎臟各一個切面,為標準腎臟縱切面超音波影像(灰階 B 型超音波)。主要所見:
- 雙側腎臟萎縮:兩側腎臟測量均約 9 公分(成人正常為 10–12 公分),輕度縮小。
- 腎臟內多發性低回音結構:可見多個大小不等的圓形或橢圓形無回音至低回音區,分布於腎實質中,形態符合多發性腎臟囊腫(multiple renal cysts)。
- 整體腎實質回音:皮質與髓質回音偏強,皮髓質分界尚存,但腎臟整體輪廓略為縮小。
臨床意義:雙側腎萎縮合併多發性囊腫,提示這是一個長期、慢性的腎臟損傷過程(chronic kidney disease, CKD),而非急性/進展中腎臟損傷。特別是:腎臟萎縮代表慢性不可逆的纖維化,萎縮 + 囊腫的組合對鑑別診斷具有重要限縮作用。
選項分析
...(解析預覽)...

升級 VIP 解鎖圖文解析