105年:內專
71歲男性病人因為咳嗽三周,胸部X光意外發現左肺有陰影。電腦斷層檢查顯示(如圖示)左下葉有一顆腫瘤及右氣管前有一顆1公分淋巴結,頭部電腦斷層及骨骼掃描皆無異常。請問接下來的檢查何者最有效率,可以在最短的時間得到治療所需要的資訊?
A先做電腦斷層接片檢查確認為惡性後,再做正子斷層造影,淋巴結有異常再做縱膈腔鏡淋巴取樣。
B先做電腦斷層接片檢查確認為惡性後,再做正子斷層造影,淋巴結有異常再做支氣管超音波經氣管淋巴結抽吸。
C先做支氣管超音波周邊腫瘤切片,再做正子斷層造影。淋巴結有異常再做支氣管超音波經氣管淋巴結抽吸。
D先做支氣管超音波經氣管淋巴結抽吸,確認為惡性腫瘤,如果為良性同時做支氣管超音波周邊腫瘤切片後,再考慮正子斷層造影。
E先做正子斷層造影,確認無其他轉移再做電腦斷層切片檢查。
詳細解析
本題觀念:
本題考查肺癌(lung cancer)初步診斷與分期工作時,如何以最高效率在最短時間內同時完成「確認惡性」與「淋巴結分期」兩項任務。核心在於理解支氣管超音波(endobronchial ultrasound, EBUS)的兩種模式:**徑向型(radial EBUS)**用於周邊肺腫瘤切片,**線性型(linear EBUS, 即 EBUS-TBNA)**用於縱膈腔/肺門淋巴結抽吸——以及正子斷層造影(positron emission tomography, PET)在分期上的角色。
影像分析:
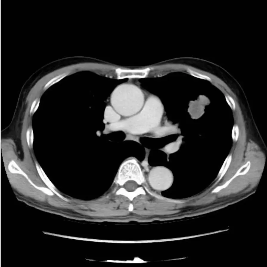
圖一(胸部電腦斷層,縱膈腔窗,心臟層面): 胸部 CT 橫切面顯示左肺(畫面右側)有一軟組織密度腫塊,位於左下葉區域,輪廓不規則,懷疑為惡性腫瘤。縱膈腔右前方(右氣管前,即 station 4R 附近)可見一枚約 1 公分的軟組織淋巴結,密度均勻,邊界清楚。主動脈弓、心臟及大血管結構清晰可辨。
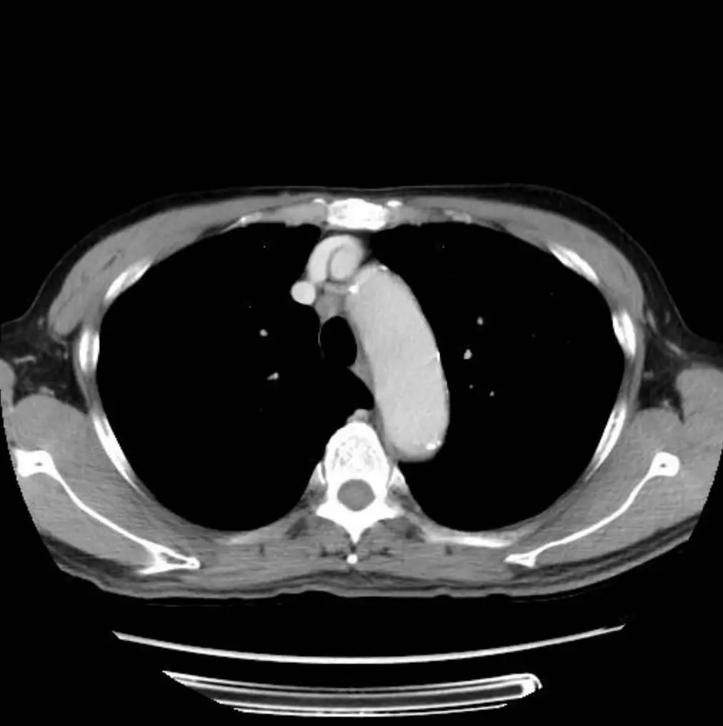
圖二(胸部電腦斷層,縱膈腔窗,較高層面): CT 橫切面呈現更上方的縱膈腔結構。右氣管前淋巴結(pre-tracheal / station 4R)更清楚可見,為一枚圓形軟組織結節,約 1 公分,位於氣管右前壁旁。左肺病灶在此層面仍隱約可見。兩側肺野其餘部分無明顯浸潤或結節。頭部 CT 及骨骼掃描已排除遠端轉移,本案為潛在可切除之 N2 疾病評估問題
...(解析預覽)...

升級 VIP 解鎖圖文解析