105年:內專
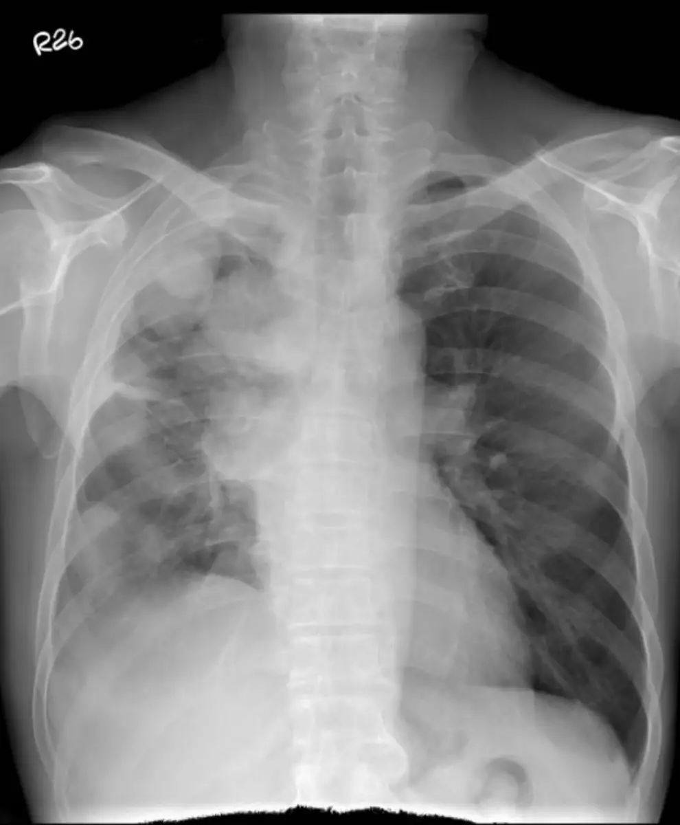
57歲油漆工因胸悶來醫院就診,心臟相關檢查無問題,CXR如圖,仔細詢問過去的職業,曾在拆船廠工作十多年,其他器官並無轉移的跡象。下列何者為非?
A最有可能的診斷是肺腺癌。
B偏光顯微鏡可以看到組織切片內的結晶。
C免疫組織染色TTF-1 應為 Negative。
D可以考慮外科切除。
E第一線的化學治療為愛寧達(pemetrexed)加鉑金。
詳細解析
本題觀念:
本題考點為職業性石棉暴露相關的惡性胸膜間皮瘤(malignant pleural mesothelioma, MPM)之診斷與治療,以及如何與肺腺癌(lung adenocarcinoma)做鑑別診斷。題目採「下列何者為非」的反向題型,須找出錯誤的敘述。
影像分析:
本題 CXR 顯示:右側大量胸腔積液(massive pleural effusion),右肺野幾乎完全呈均勻白化(opacification),肺紋理不清。縱膈腔(心臟陰影)輕度向左偏移,左側肺野充氣良好,無明顯實質性浸潤。無肺門腫大或明顯肺實質腫塊,肋骨無明顯溶骨性破壞。整體影像特徵以大量單側胸腔積液為主,合併右肺葉受壓萎陷,無典型肺腺癌的周邊腫塊、毛刺或空洞表現。此種影像,結合病患有超過十年拆船廠(石棉暴露)工作史,高度提示惡性胸膜間皮瘤而非原發性肺腺癌。
選項分析
本題為反向題(下列何者為「非」),以下 ✅ 表示正確陳述,❌ 表示錯誤陳述(即答案)。
(A) 最有可能的診斷是肺腺癌。 ❌ 這是錯誤敘述,即本題答案。 病患有超過十年拆船廠工作史,石棉暴露史明確。CXR 呈現大量單側胸腔積液,無其他器官轉移。最符合的診斷是惡性胸膜間皮瘤,而非肺腺癌。石棉纖維引起的惡性腫瘤有 20-40 年的潛伏期,與病史完全吻合。肺腺癌通常表
...(解析預覽)...

升級 VIP 解鎖圖文解析