105年:內專
62歲女姓,過去無高血壓或糖尿病,近五年雙手手指碰冷水會變紅紫,最近四個月逐漸出現以下症狀:面孔與手指浮腫、吞嚥不順、說話遲緩、下肢腫脹、血壓變高、呼吸急促、呼吸困難、端坐呼吸。BP160/83 mmHg, Urine protein 3+, RBC 40-50/HPF;Hb 7.4 gm/dL,Alb 2.8 gm/dL,Cre 2.8 mg/dL(半年前1.2 mg/dL) 。( 如圖示) 請問下列何者為正確?
A馬上住院並開始類固醇的治療。
B若在發病前給予ACE inhibitor,即可有效地預防此病之發作。
C若病人沒有出現高血壓(即Normotensive),其病情與預後會較好。
D若病人之autoantibody against topoisomerase I (Scl70)呈陽性,其預後較好。
E若兩年後仍無法脫離透析治療,可建議病人接受腎臟移植,因為其存活率還好且很少復發。
詳細解析
本題觀念:
本題為一位 62 歲女性,有 5 年雷諾氏現象(Raynaud's phenomenon)病史,近四個月急速出現多系統受累表現,包括面部與手指浮腫、吞嚥困難、說話遲緩、下肢水腫、高血壓、呼吸急促及端坐呼吸,合併腎功能快速惡化(肌酸酐半年內從 1.2 升至 2.8 mg/dL)、大量蛋白尿及血尿,診斷為系統性硬化症(systemic sclerosis, SSc)合併硬皮病腎臟危象(scleroderma renal crisis, SRC)。
影像分析:
圖一(臨床照片):
- 上方照片(雙手):雙手手指明顯皮膚增厚、緊繃,手指浮腫,皮膚光亮,手指屈曲受限,呈現典型的硬指症(sclerodactyly),指端可見缺血改變。
- 左下方照片(足趾):足趾亦有類似皮膚增厚表現,甲床蒼白-紫紺,符合末梢血管病變。
- 右下方照片(面部):患者面部皮膚緊繃,嘴巴張開受限(microstomia,小口症),鼻翼縮窄,面部表情减少,為瀰漫性皮膚型系統性硬化症(diffuse cutaneous SSc, dcSSc)的特徵性面容。
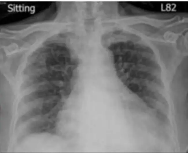
圖二(胸部 X 光,坐位,L82):
- 心臟輪廓明顯擴大(cardiomegaly),心胸比(cardiothoracic ratio)增加
- 雙肺可見血管紋路增粗,
...(解析預覽)...

升級 VIP 解鎖圖文解析