105年:醫學四(2)
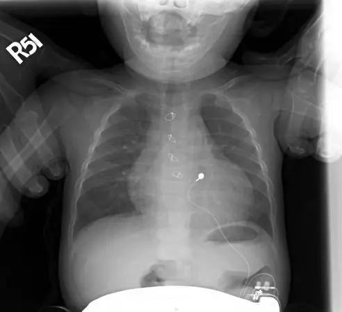
1歲小男孩,突然臉色蒼白,冒冷汗,父母描述過去因心跳慢,曾於出生不久接受某種手術,身體診查發現心跳只有 56 次/分,緊急 CXR 如下。此小男孩最可能過去接受過何種手術? 
Apacemaker implantation
Blobectomy
Cperidectomy
Dtracheostomy
詳細解析
本題觀念:
本題考查嬰幼兒先天性完全房室傳導阻滯(congenital complete atrioventricular block, CCAVB)的臨床表現及治療。1歲男孩因持續心搏緩慢(bradycardia),出生不久即接受手術,目前心率僅 56 次/分,符合心律調節器(pacemaker)植入後的狀態。
影像分析:
本題 CXR 為嬰幼兒正面胸部 X 光片,右側標有 R51 方向標記。影像關鍵發現如下:
- 心律調節器脈衝產生器(pulse generator):可見於影像下方腹部位置(上腹部/腹部皮下),為一金屬密度之矩形裝置,這是嬰幼兒電池包通常放置的位置(因嬰幼兒胸腔太小,脈衝產生器多置於腹壁皮下)
- 心外膜電極導線(epicardial leads):影像中可見細微的放射不透明金屬導線,從腹部裝置延伸至胸腔,連接至心臟表面
- 心臟大小:心臟輪廓在正常範圍,無明顯心臟肥大
- 肺野:雙肺野清晰,無明顯充血或肺水腫跡象
此影像所見為嬰幼兒心外膜心律調節器(epicardial pacemaker)植入後之典型 X 光表現,脈衝產生器置於腹部皮下,電極導線縫附於心臟外膜(心外膜),與成人經靜脈(transvenous)植入方式不同。
選項分析
**(A) pacemaker implantati
...(解析預覽)...
![醫師[2] - 心臟及血管疾病 - AI 圖文解析預覽](/_next/image?url=https%3A%2F%2Fbgvxfcrmbdvefjhuvrmt.supabase.co%2Fstorage%2Fv1%2Fobject%2Fpublic%2Fvisual-explanations%2F1072%2F71411_t4q2s324v.webp&w=3840&q=75)
升級 VIP 解鎖圖文解析